Disseminated Kaposi's sarcoma in a child treated with allogeneic hematopoietic stem cell transplantation
- Authors: Lemeshev M.A.1, Vasilieva A.P.1, Radygina S.A.1, Abramov D.S.1, Khachatryan L.A.1, Abashidze Z.A.1, Kozlovskaya S.N.1, Skvortsova Y.V.1, Balashov D.N.1, Maschan A.A.1
-
Affiliations:
- Dmitry Rogachev National Medical Research Center of Pediatric Hematology, Oncology and Immunology
- Issue: Vol 24, No 2 (2025)
- Pages: 116-122
- Section: CLINICAL OBSERVATIONS
- Submitted: 08.09.2025
- Accepted: 08.09.2025
- Published: 08.09.2025
- URL: https://hemoncim.com/jour/article/view/1021
- DOI: https://doi.org/10.24287/1726-1708-2025-24-2-116-122
- EDN: https://elibrary.ru/RXCTIK
- ID: 1021
Cite item
Full Text
Abstract
Kaposi's sarcoma (KS) is a rare complication of hematopoietic stem cell transplantation (HSCT). Here, we report a case of disseminated KS in a pediatric patient after haploidentical HSCT that developed during secondary immunosuppression. Treatment with liposomal doxorubicin resulted in a complete metabolic response. This case highlights the importance of early diagnosis and stresses the need to consider KS in the differential diagnosis of cutaneous and systemic manifestations in patients following HSCT. The patient's parents gave consent to the use of their child's data, including photographs, for research purposes and in publications.
Full Text
Cаркома Капоши (СК) - редкая злокачественная низкодифференцированная опухоль, впервые была описана в 1871 г., однако особое внимание она привлекла в начале 1980-х годов как одно из первых проявлений синдрома приобретенного иммунодефицита (СПИД). В 1994 г. в клетках СК был выявлен онкогенный ДНК-содержащий вирус - вирус герпеса человека 8-го типа (HHV-8, KSHV) [1, 2]. Согласно актуальной классификации опухолей Всемирной организации здравоохранения СК относится к опухолям сосудистого генеза [3].
Помимо классической (спорадической) и эндемической (африканской) СК также выделяют 2 формы заболевания, связанные с иммунодефицитом: эпидемическая СК, или связанная со СПИД, а также ятрогенная СК, развивающаяся после трансплантации солидных органов или гемопоэтических стволовых клеток на фоне проводимой иммуносупрессивной терапии (ИСТ) [1]. СК после трансплантации гемопоэтических стволовых клеток (ТГСК) встречается реже, чем после трансплантации солидного органа, возможно, за счет проводимых интенсивных режимов кондиционирования, приводящих к деплеции инфицированных HHV-8 лимфоидных клеток реципиента, снижая риск реактивации и последующей диссеминации [4].
В литературе имеется ограниченное количество публикаций на тему СК после ТГСК, при этом большинство из них - отдельные клинические наблюдения. В данной работе мы описываем развитие диссеминированной формы СК у ребенка после аллогенной ТГСК с ответом на проводимую терапию липосомальным доксорубицином. Родители пациента дали согласие на использование информации, в том числе фотографий ребенка, в научных исследованиях и публикациях.
КЛИНИЧЕСКИЙ СЛУЧАЙ
Пациенту мужского пола в возрасте 8 лет был установлен диагноз «острый лимфобластный лейкоз (ОЛЛ), иммуновариант B-II, статус центральной нервной системы (ЦНС) I». Ребенок получал терапию по протоколу ALL-MB 2015 для группы А [5]. Через полтора года после окончания поддерживающей терапии диагностирован первый поздний изолированный костномозговой рецидив заболевания, по поводу которого проводилась терапия согласно протоколу ALL-REZ-MB 2016 [6], и достигнута клинико-гематологическая MRD (minimal residual disease, минимальная остаточная болезнь)-позитивная ремиссия, MRD-негативная ремиссия зафиксирована после курса блинатумомаба.
Следующим этапом пациенту проведена аллогенная ТГСК от гаплоидентичного донора (отца). Режим кондиционирования состоял из тотального облучения тела (ТОТ) в суммарной дозе 12 Гр, циклофосфамида 50 мг/кг/сут, флударабина 150 мг/м2. В качестве источника гемопоэтических стволовых клеток использовался костный мозг. Клеточность трансплантата: NC - 6,390 к 108/кг, CD34+ - 6,070 к 106/кг, CD3+ - 46,440 к 106/кг.
Режим профилактики реакции «трансплантат против хозяина» (РТПХ) включал циклофосфамид 50 мг/кг/сут на +3-и и +4-е сутки, циклоспорин 1 мг/кг/сут, ведолизумаб 10 мг/кг/сут №2, абатацепт 10 мг/кг №2. Приживление нейтрофильного ростка трансплантата зарегистрировано на +26-й день, тромбоцитарного - на +20-й день.
В рамках контрольного обследования на +30-е и +100-е сутки подтверждена MRD-негативная ремиссия ОЛЛ. Функция трансплантата оставалась удовлетворительной. В дальнейшем пациент в стабильном соматическом статусе продолжал проводимую сопроводительную терапию по месту жительства.
Через 6 мес после ТГСК пациент был госпитализирован в НМИЦ ДГОИ им. Дмитрия Рогачева в связи с длительным фебрилитетом и быстрым прогрессированием выявленных по месту жительства симптомов: подкожных гранулем с геморрагическим пропитыванием, гингивита с гиперплазией десен, стоматита (рисунок 1). По данным исследования клеточных и гуморальных факторов иммунитета сохранялся вторичный иммунодефицит с начальными признаками иммунореконституции (CD3+ - 0,865 к 109/л, CD4+ - 0,088 к 109/л и CD8+ - 0,753 к 109/л).
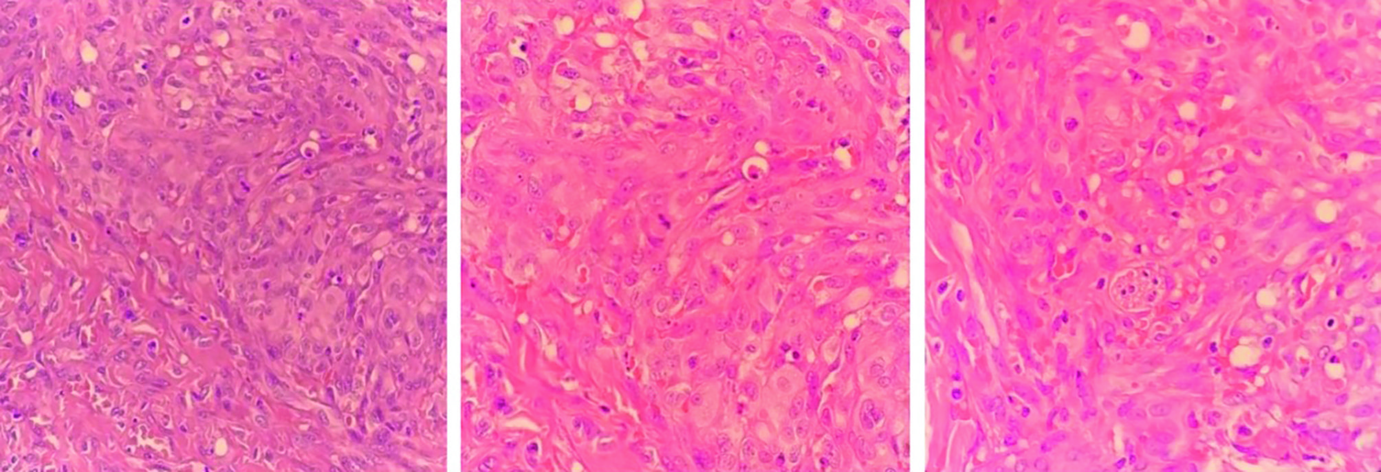
Пациенту выполнена биопсия патологических элементов на теле. При гистологическом исследовании морфологическая картина соответствовала СК (рисунок 2). При иммуногистохимическом исследовании выявлены ядерная гранулярная экспрессия HHV-8, экспрессия ERG, Fli1, фактора VIII, подопланина, CD34, негативная реакция с PanCK, 0D31. По данным вирусологического исследования биоптата кожи, жидкости бронхоальвеолярного лаважа и крови методом полимеразной цепной реакции обнаружена ДНК HHV-8. На компьютерной томографии (КТ) органов грудной клетки, брюшной полости отмечается патологическая специфическая инфильтрация обоих легких (рисунок 3).
Таким образом, был установлен диагноз «СК, диссеминированная форма (поражение слизистых ротовой полости, миндалин, желудочно-кишечного тракта, кожи, легких), агрессивное течение».
В связи с нарастанием дыхательной недостаточности пациент был переведен в отделение реанимации и интенсивной терапии (ОРИТ) для проведения респираторной поддержки. Учитывая агрессивное течение заболевания, помимо отмены ИСТ (глюкокортикостероиды, циклоспорин) было принято решение о проведении комбинированной противоопухолевой терапии липосомальным доксорубицином 20 мг/м2 1 раз/3 нед, и винбластином 0,1 мг/кг 1 раз/нед. Через 2 нед от начала химиотерапии отмечена выраженная положительная динамика в виде стабилизации функционального статуса, купирования дыхательной недостаточности и уменьшения выраженности гиперпластического гингивита. Пациент переведен из ОРИТ в профильное отделение, где монотерапия липосомальным доксорубицином была продолжена.
Рисунок 1 Быстропрогрессирующие начальные проявления заболевания, динамика за 7 дней до начала специфической терапии: А, Б – гингивит и гиперплазия десен; В, Г – гранулемы с экхимозами на коже
Figure 1. Rapidly progressing initial disease manifestations observed over 7 days prior to the initiation of specific therapy: A, Б - gingivitis and gingival hyperplasia; В, Г - granulomas with ecchymotic skin lesions
Рисунок 2. Гистологическая картина: опухолевая ткань располагается в виде пучков и узлов среди волокон коллагена. Клетки овоидной и веретеновидной формы с обильной эозинофильной цитоплазмой и крупными овоидными ядрами с гранулярным хроматином. Отмечается формирование клетками мелких вакуолей, которые заполнены эритроцитами. Видны множественные депозиты гемосидерина
Figure 2. Histological findings: the tumor tissue is arranged in bundles and nodules among collagen fibers. The cells are ovoid and spindle-shaped with abundant eosinophilic cytoplasm and large ovoid nuclei containing granular chromatin. The tumor cells are seen to form small vacuoles filled with erythrocytes. There are numerous hemosiderin deposits
Рисунок 3. КТ органов грудной клетки с контрастным усилением до начала специфической терапии (аксиальная проекция): А, В - появление многочисленных очагов в обоих легких; Б, Г - отрицательная динамика за 7 дней от предыдущего исследования в виде увеличения очагов с формированием массивных инфильтраций
Figure 3. Contrast-enhanced chest CT scans done before the start of specific therapy (axial view): A, B - multiple lesions in both lungs; Б, Г - progression over 7 days following the previous CT exam: enlarged lesions and extensive infiltrates
По данным контрольного обследования в объеме КТ органов грудной клетки и органов брюшной полости с контрастным усилением после 4-го и 8-го курсов терапии отмечается выраженная положительная динамика в виде уменьшения патологической специфической инфильтрации обоих легких с уменьшением площади поражения (рисунок 4).
На данный момент пациент получил 17 введений пегилированного липосомального доксорубицина. По результатам контрольного обследования в объеме позитронно-эмиссионной томографии-КТ с 18-фтордезоксиглюкозой данных за наличие активной опухолевой ткани с гиперметаболизмом радиофармпрепарата не получено. Таким образом, зафиксирован полный ответ на терапию. Пациент находится под динамическим наблюдением без признаков прогрессирования в течение 5 мес.
ОБЗОР ЛИТЕРАТУРЫ И ОБСУЖДЕНИЕ РЕЗУЛЬТАТОВ ИССЛЕДОВАНИЯ
СК - ангиопролиферативное заболевание, ассоциированное с HHV-8 (KSHV) - представителем гаммагерпесвирусов. HHV-8 способен вызывать трансформацию эндотелиальных клеток и стимулировать пролиферацию опухолевых клеток за счет продукции вирусных белков, включая гомологи IL-6, что запускает каскад воспалительных и ангиогенных реакций [7]. У описанного нами пациента была выявлена диссеминированная форма СК с гистологическим подтверждением и обнаружением ДНК HHV-8 методом полимеразной цепной реакции в образцах кожи, крови и бронхоальвеолярного лаважа.
Вторичный иммунодефицит после аллогенной ТГСК является одним из важных провокационных факторов развития заболевания, так как снижение цитотоксических CD8+-лимфоцитов нарушает возможность контроля репликации HHV-8. Их дефицит способствует реактивации вируса и инфицированию эндотелиальных клеток, что необходимо для поддержания опухолевого роста [8, 9]. У нашего пациента на момент дебюта СК отмечалось снижение уровней лимфоцитов CD3+ (0,865 к 109/л), CD4+ (0,088 к 109/л) и CD8+ (0,753 к 109/л), а также экспрессия латентного ядерного антигена HHV-8 (LANA) в опухолевых клетках при иммуногистохимическом исследовании.
Рисунок 4. КТ органов грудной клетки с контрастным усилением (аксиальная проекция) в динамике на фоне проводимой специфической терапии: А, Г - инициальное поражение; Б, Д - после 4 курсов терапии; В, Е - после 8 курсов терапии
Figure 4. Axial contrast-enhanced chest CT scans showing changes during specific therapy: А, Г - the initial lesions; Б, Д - after 4 cycles of treatment; В, Е - after 8 cycles of treatment
Хотя in vivo пролиферация инфицированных HHV-8 эндотелиальных клеток не слишком высока, в ряде исследований выявлена экспрессия маркеров Ki-67, TP53 и PCNA [10, 11]. Активация PI3K/Akt/mTOR-пути вирусными белками дополнительно усиливает рост опухоли. Имеются сообщения об успешном регрессе СК на фоне модификации иммуносупрессивной терапии, например конвертации ингибиторов кальциневрина на mTOR-ингибитор рапамицин [12, 13]. Наш пациент получал циклоспорин в качестве профилактики РТПХ, который помимо иммуносупрессивного эффекта стимулирует ангиогенез за счет индукции VEGF, что способствует опухолевой трансформации [13, 14]. Имеющиеся в литературе данные свидетельствуют, что в ряде случаев лишь редукция или полная отмена ИСТ может приводить к регрессии опухолевых очагов. В нашем наблюдении, учитывая диссеминированную форму заболевания, отмена ИСТ рассматривалась как этап комплексного подхода наряду с началом системной химиотерапии.
Следует отметить, что HHV-8 изменяет дифференцировку инфицированных эндотелиальных клеток в лимфатические эндотелиальные клетки и индуцирует аберрантную экспрессию мезенхимальных маркеров. Таким образом, веретенообразные клетки опухоли могут демонстрировать маркеры как эндотелиальной, так и мезенхимальной дифференцировки. Данный феномен определяется как эндотелиально-мезенхимальный переход (endothelial-to-mesenchymal transition) [15, 16]. Активация путей STAT3 и Akt, индуцируемая вирусным IL-6, усиливает лимфатическую трансформацию эндотелия [17]. Это сопровождается повышенной инвазивностью, миграцией, продукцией ангиогенных цитокинов (VEGF, Ang2, IL-6, IL-8) и типичными гистологическими признаками (аномальные сосуды, экстравазация эритроцитов, воспалительный инфильтрат) [18-20]. Описанные выше гистологические особенности наблюдались и у нашего пациента.
Роль воспаления и цитокиновых каскадов также неоспорима. Доказана ассоциация СК с хроническим воспалением, особенно в местах повреждения кожи (феномен Кебнера) [21]. Гистологически опухоли характеризуются инфильтрацией моноцитами, эозинофилами, плазматическими клетками [22]. Вирус индуцирует экспрессию провоспалительных и хемотаксических цитокинов, усиливающих лейкоцитарную инфильтрацию и ангиогенез [9, 23]. У пациентов с вирусом иммунодефицита человека (ВИЧ) СК может развиваться в течение нескольких месяцев после начала комбинированной антиретровирусной терапии на фоне иммунореконституции как проявление IRIS (immune reconstitution inflammatory syndrome, синдром восстановления иммунитета) [24].
Основной стратегией лечения СК после ТГСК остается редукция или отмена иммуносупрессии. При невозможности ее прекращения целесообразна замена ингибиторов кальциневрина на рапамицин [13, 14]. При небольших, ограниченных или поверхностных поражениях возможно полное хирургическое удаление [25]. В случаях диссеминированного поражения или отсутствия ответа на отмену ИСТ показана химиотерапия. Согласно рекомендациям NCCN (National Comprehensive Cancer Network) и EDF/EADO/EORTC (European Dermatology Forum/ European Association of Dermato-Oncology/European Organization for Research and Treatment of Cancer) препаратами выбора в первой линии терапии являются пегилированный липосомальный доксорубицин и паклитаксел. При развитии рецидива заболевания после долгого безрецидивного периода возможно повторное проведение терапии липосомальным доксорубицином. Альтернативные препараты включают помалидомид, бортезомиб, винорелбин, этопозид, гемцитабин. Перспективной является иммунотерапия анти-PD и CTLA4-ингибиторами [26, 27].
При использовании антрациклинов, в том числе доксорубицина, важнейшим ограничением является кумулятивная дозозависимая кардиотоксичность (максимальная кумулятивная доза 450-550 мг/м2) [28]. Липосомальные формы доксорубицина позволяют достигать более высоких кумулятивных доз без выраженной кардиотоксичности. Так, имеется описание случая лечения пациента с ВИЧ-ассоциированной СК, который получил кумулятивную дозу 940 мг/м2 липосомального доксорубицина в течение 10 лет без значительных побочных эффектов [29]. Несмотря на это, установленного максимального кумулятивного предела для липосомального доксорубицина не существует. При переходе на липосомальные формы также следует обязательно учитывать предыдущие курсы терапии антрациклинами при предшествующем лечении. В представленном случае комбинированная терапия липосомальным доксорубицином и винбластином привела к быстрому клиническому улучшению, а дальнейшее лечение доксорубицином в монорежиме позволило достичь полного метаболического ответа по данным ПЭТ-КТ. Лечение завершено в связи с достижением максимальной кумулятивной дозы.
По данным реестра EBMT, 62% пациентов с СК после ТГСК живы на момент наблюдения (медиана 48 мес), основными причинами смерти были инфекции и прогрессирование основного заболевания. Обобщенный анализ 19 клинических случаев показал выживаемость 63% (12/19 пациентов) на 2021 г. Таким образом, при ранней диагностике и комплексном лечении, включая модификацию ИСТ и химиотерапию, возможно достижение стойкой ремиссии даже при агрессивных формах СК после ТГСК [25].
Несмотря на установленную роль HHV-8 в патогенезе СК, вопрос рутинного скрининга доноров и реципиентов на HHV-8 перед трансплантацией остается дискутабельным. Частота клинически значимых HHV-8-ассоциированных осложнений после ТГСК крайне низка, особенно в регионах с невысокой серопревалентностью вируса. СК развивается преимущественно у пациентов, получающих интенсивную и длительную иммуносупрессивную терапию, а утвержденные профилактические или противовирусные стратегии при латентной инфекции отсутствуют. Наиболее эффективной мерой профилактики СК после трансплантации остаются рациональная минимизация иммуносупрессии и раннее выявление клинических проявлений заболевания [4, 25].
ЗАКЛЮЧЕНИЕ
СК после аллогенной ТГСК - крайне редкое, но потенциально тяжелое осложнение, развивающееся на фоне иммунодефицита, реактивации HHV-8, активации ангиогенных и провоспалительных сигнальных путей, а также трансформации инфицированных эндотелиальных клеток. Данный клинический случай подчеркивает важность настороженности и раннего включения СК в дифференциальный диагноз при кожных и системных проявлениях у пациентов после ТГСК, находящихся на иммуносупрессивной терапии. Своевременная диагностика с морфологической и вирусологической верификацией, модификация ИСТ и начало химиотерапии позволили достичь полного метаболического ответа даже при диссеминированной форме заболевания. Успешный исход в представленном случае демонстрирует эффективность комплексного подхода, однако подчеркивает необходимость дальнейших клинических наблюдений, разработки оптимальных стратегий профилактики, диагностики и лечения СК у пациентов после ТГСК.
ИСТОЧНИК ФИНАНСИРОВАНИЯ
Не указан.
КОНФЛИКТ ИНТЕРЕСОВ
Авторы статьи подтвердили отсутствие конфликта интересов, о котором необходимо сообщить.
About the authors
Mikhail A. Lemeshev
Dmitry Rogachev National Medical Research Center of Pediatric Hematology, Oncology and Immunology
Email: mikhail.lemeshev@dgoi.ru
ORCID iD: 0009-0004-4814-297X
Russian Federation, Moscow
Anna P. Vasilieva
Dmitry Rogachev National Medical Research Center of Pediatric Hematology, Oncology and Immunology
Email: no-reply@eco-vector.ru
ORCID iD: 0000-0003-3949-248X
Russian Federation, Moscow
Svetlana A. Radygina
Dmitry Rogachev National Medical Research Center of Pediatric Hematology, Oncology and Immunology
Email: ra-svet-7@yandex.ru
ORCID iD: 0000-0002-7696-1153
Russian Federation, Moscow
Dmitry S. Abramov
Dmitry Rogachev National Medical Research Center of Pediatric Hematology, Oncology and Immunology
Email: dmitry.abramov@fccho-moscow.ru
ORCID iD: 0000-0003-3664-2876
Russian Federation, Moscow
Lili A. Khachatryan
Dmitry Rogachev National Medical Research Center of Pediatric Hematology, Oncology and Immunology
Email: Lili.Hachatryan@dgoi.ru
ORCID iD: 0000-0001-7265-0414
Russian Federation, Moscow
Zalina A. Abashidze
Dmitry Rogachev National Medical Research Center of Pediatric Hematology, Oncology and Immunology
Email: zalina.abashidze@dgoi.ru
ORCID iD: 0000-0002-6314-2132
Russian Federation, Moscow
Svetlana N. Kozlovskaya
Dmitry Rogachev National Medical Research Center of Pediatric Hematology, Oncology and Immunology
Email: lana.n.kozlovskaya@gmail.com
ORCID iD: 0000-0002-1754-1220
Russian Federation, Moscow
Yulia V. Skvortsova
Dmitry Rogachev National Medical Research Center of Pediatric Hematology, Oncology and Immunology
Email: yuscvo@mail.ru
ORCID iD: 0000-0002-0566-053X
MD, Dr. Sci. (Medicine)
Russian Federation, MoscowDmitry N. Balashov
Dmitry Rogachev National Medical Research Center of Pediatric Hematology, Oncology and Immunology
Email: bala8@yandex.ru
ORCID iD: 0000-0003-2689-0569
Russian Federation, Moscow
Alexey A. Maschan
Dmitry Rogachev National Medical Research Center of Pediatric Hematology, Oncology and Immunology
Author for correspondence.
Email: Aleksey.Maschan@dgoi.ru
ORCID iD: 0000-0002-0016-6698
Russian Federation, Moscow
References
- Mesri E.A., Cesarman E., Boshoff C. Kaposi's sarcoma and its associated herpesvirus. Nat Rev Cancer 2010; 10 (10): 707-19. DOI: 10.1038/ nrc2888
- Chang Y., Cesarman E., Pessin M.S., Lee F., Culpepper J., Knowles D.M., Moore P.S. Identification of herpesvirus-like DNA sequences in AIDS-associated Kaposi's sarcoma. Science 1994; 266 (5192): 1865-9. doi: 10.1126/science.7997879
- WHO Classification of Tumours of Soft Tissue and Bone, Vol. 3. 5th ed. IARC; 2020.
- Mikulska M., Balletto E., Mularoni A. Human herpesvirus 8 and Kaposi sarcoma: how should we screen and manage the transplant recipient? Curr Opin Infect Dis 2021; 34 (6): 646-53. doi: 10.1097/QCO.000000000000079208.05.2025.
- Острый лимфобластный лейкоз. Клинические рекомендации Минздрава России. 2023 [Электронный ресурс] URL: https://cr.minzdrav.gov.ru/view-cr/529_2, свободный (дата обращения 08.05.2025.)
- Вавилова Л.А., Дьяконова Ю.Ю., Быданов О.И., Мякова Н.В., Абугова Ю.Г., Андержанова Л.Х. и др. Роль блинатумомаба в лечении В-клеточных рецидивов острого лимфобластного лейкоза у детей: собственный опыт применения. Вопросы гематологии/онкологии и иммунопатологии в педиатрии 2023; 22 (1): 62-72. doi: 10.24287/1726-1708-2023-22-1-62-72
- Polizzotto M.N., Uldrick T.S., Wyvill K.M., Aleman K., Marshall V., Wang V., et al. Clinical features and outcomes of patients with symptomatic kaposi sarcoma herpesvirus (KSHV)-associated Inflammation: prospective characterization of KSHV inflammatory cytokine syndrome (KICS). Clin Infect Dis 2016; 62 (6): 730-8. doi: 10.1093/cid/ civ996. Erratum in: Clin Infect Dis 2018; 66 (6): 985. doi: 10.1093/cid/ cix831
- Parravicini C., Chandran B., Corbellino M., Berti E., Paulli M., Moore P.S., Chang Y. Differential viral protein expression in Kaposi's sarcoma-associated herpesvirus-infected diseases: Kaposi's sarcoma, primary effusion lymphoma, and multicentric Castleman's disease. Am J Pathol 2000; 156 (3): 743-9. doi: 10.1016/S0002-9440(10)64940-1
- Mariggio G., Koch S., Schulz T.F. Kaposi sarcoma herpesvirus pathogenesis. Philos Trans R Soc Lond B Biol Sci 2017; 372 (1732): 20160275. doi: 10.1098/rstb.2016. 0275
- Kaaya E.E., Parravicini C., Sundelin B., Mgaya E., Kitinya J., Lema L., et al. Spindle cell ploidy and proliferation in endemic and epidemic African Kaposi's sarcoma. Eur J Cancer 1992; 28A (11): 1890-4. doi: 10.1016/0959-8049(92) 90030-6
- Hodak E., Hammel I., Feinmesser M., Zelinger A., Maron L., Sulkes J., David M. Differential expression of p53 and Ki-67 proteins in classic and iatrogenic Kaposi's sarcoma. Am J Dermatopathol 1999; 21 (2): 138-45. doi: 10.1097/00000372-19990400000005
- Stallone G., Schena A., Infante B., Di Paolo S., Loverre A., Maggio G., et al. Sirolimus for Kaposi's sarcoma in renal-transplant recipients. N Engl J Med 2005; 352 (13): 1317-23. doi: 10.1056/NEJMoa042831(7)
- Roy D., Sin S.H., Lucas A., Venkataramanan R., Wang L., Eason A., et al. mTOR inhibitors block Kaposi sarcoma growth by inhibiting essential autocrine growth factors and tumor angiogenesis. Cancer Res 2013; 73(7): 2235-46. doi: 10.1158/0008-5472.CAN-12-1851
- Deauna-Limayo D., Rajabi B., Qiu W., Htut M., Sweetenham J. Kaposi sarcoma after non-myeloablative hematopoietic stem cell transplant: response to withdrawal of immunosuppressant therapy correlated with whole blood human herpesvirus-8 reverse transcriptase-polymerase chain reaction levels. Leuk Lymphoma 2013; 54 (10): 2299-302. doi: 10.3109/10428194.2013.769221
- Cheng F., Pekkonen P., Laurinavicius S., Sugiyama N., Henderson S., Gunther T., et al. KSHV-initiated notch activation leads to membrane-type-1 matrix metalloproteinase-dependent lymphatic endothelial-to-mesenchymal transition. Cell Host Microbe 2011; 10 (6): 577-90. DOI: 10.1016/j. chom.2011.10.011
- Gasperini P., Espigol-Frigole G., McCormick P.J., Salvucci O., Maric D., Uldrick T.S., et al. Kaposi sarcoma herpesvirus promotes endothelial-to-mesenchymal transition through Notch-dependent signaling. Cancer Res 2012; 72 (5): 1157-69. doi: 10.1158/0008-5472. CAN-11-3067
- Morris V.A., Punjabi A.S., Wells R.C., Wittkopp C.J., Vart R., Lagunoff M. The KSHV viral IL-6 homolog is sufficient to induce blood to lymphatic endothelial cell differentiation. Virology 2012; 428 (2): 112-20. doi: 10.1016/j.virol.2012.03.013
- Bala K., Bosco R., Gramolelli S., Haas D.A., Kati S., Pietrek M., et al. Kaposi's sarcoma herpesvirus K15 protein contributes to virus-induced angiogenesis by recruiting PLCg1 and activating NFAT1-dependent RCAN1 expression. PLoS Pathog 2012;8 (9): e1002927. DOI: 10.1371/ journal.ppat.1002927
- Gramolelli S., Weidner-Glunde M., Abere B., Viejo-Borbolla A., Bala K., Ruckert J., et al. Inhibiting the recruitment of PLCg1 to Kaposi's sarcoma herpesvirus K15 protein reduces the invasiveness and angiogenesis of infected endothelial cells. PLoS Pathog 2015; 11 (8): e1005105. doi: 10.1371/journal. ppat.1005105
- He M., Zhang W., Bakken T., Schutten M., Toth Z., Jung J.U., et al. Cancer angiogenesis induced by Kaposi sarcoma-associated herpesvirus is mediated by EZH2. Cancer Res 2012; 72 (14): 3582-92. doi: 10.1158/0008-5472.CAN-11-2876. Erratum in: Cancer Res 2013; 73(17): 5603-5.
- Brambilla L., Aromolo I.F., Buffon S., Benaglia C., Tourlaki A. Koebner phenomenon in Kaposi's sarcoma: a large single-center case series and review of current knowledge. J Cutan Med Surg 2023; 27 (2): 102-7. doi: 10.1177/12034754221149658
- Grayson W., Pantanowitz L. Histological variants of cutaneous Kaposi sarcoma. Diagn Pathol 2008; 3: 31. doi: 10.1186/1746-1596-3-31
- Haas D.A., Bala K., Busche G., Weidner-Glunde M., Santag S., Kati S., et al. The inflammatory kinase MAP4K4 promotes reactivation of Kaposi's sarcoma herpesvirus and enhances the invasiveness of infected endothelial cells. PLoS Pathog 2013; 9 (11): e1003737. doi: 10.1371/journal.ppat. 1003737
- Leidner R.S., Aboulafia D.M. Recrudescent Kaposi's sarcoma after initiation of HAART: a manifestation of immune reconstitution syndrome. AIDS Patient Care STDS 2005; 19 (10): 635-44. DOI: 10.1089/ apc.2005.19.635
- Cesaro S., Tridello G., van der Werf S., Bader P., Socie G., Ljungman P., et al. Incidence and outcome of Kaposi sarcoma after hematopoietic stem cell transplantation: a retrospective analysis and a review of the literature, on behalf of infectious diseases working party of EBMT. Bone Marrow Transplant 2020; 55 (1): 110-6. DOI: 10.1038/ s41409-019-0644-8
- NCCN Clinical Practice Guidelines in Oncology. Kaposi sarcoma Version 1.2024, November, 2023.
- Lebbe C., Garbe C., Stratigos A.J., Harwood C., Peris K., Marmol V.D., et al.; European Dermatology Forum (EDF), the European Association of Dermato-Oncology (EADO) and the European Organisation for Research and Treatment of Cancer (EORTC). Diagnosis and treatment of Kaposi's sarcoma: European consensus-based interdisciplinary guideline (EDF/EADO/EORTC). Eur J Cancer 2019; 114: 117-27. DOI: 10.1016/j. ejca.2018.12.036
- Swain S.M., Whaley F.S., Ewer M.S. Congestive heart failure in patients treated with doxorubicin: a retrospective analysis of three trials. Cancer 2003; 97 (11): 2869-79. doi: 10.1002/cncr.11407
- Yokota K., Yotsumoto M., Muramatsu T., Saito M., Kamikubo Y., Ichiki A., et al. Long-term administration of pegylated liposomal doxorubicin at almost twice the recom¬mended lifetime dose in 10 years, without cardiotoxicity in a Japanese patient with HIV-associated Kaposi sarcoma. J Infect Chemother 2020; 26 (2): 289-91. doi: 10.1016/j.jiac.2019.08.016
Supplementary files







