Congenital dyserythropoietic anemias
- Authors: Klyukhin V.V.1, Smetanina N.S.1
-
Affiliations:
- Dmitry Rogachev National Medical Research Center of Pediatric Hematology, Oncology and Immunology
- Issue: Vol 24, No 2 (2025)
- Pages: 130-139
- Section: LITERATURE REVIEW
- Submitted: 25.12.2024
- Accepted: 04.08.2025
- Published: 08.09.2025
- URL: https://hemoncim.com/jour/article/view/935
- DOI: https://doi.org/10.24287/1726-1708-2025-24-2-130-139
- EDN: https://elibrary.ru/YVMIDT
- ID: 935
Cite item
Full Text
Abstract
Congenital dyserythropoietic anemias (CDAs) is a rare group of inherited anemias characterized by ineffective erythropoiesis and pronounced morphological abnormalities in erythroid precursors in the bone marrow. There are several CDA (I–IV) types, each associated with specific mutations in genes such as CDAN1, C15orf41, SEC23B, KIF23, and KLF1, leading to variable phenotypic manifestations. CDA type II is the most common variant among all CDAs and presents with normocytic anemia of varying severity, jaundice, and splenomegaly. The diagnosis of these genetically determined conditions is based on molecular genetic testing and morphological identification of specific abnormalities in erythroid precursors, with each type of CDA showing distinctive features, such as the presence of internuclear chromatin bridges in CDA type I and erythroblasts with two or more nuclei in CDA type II. Current treatment approaches play primarily a supportive role and include blood component transfusions, monitoring, and correction of iron overload. Hematopoietic stem cell transplantation is currently the only curative option for patients with CDA. Overall, the prognosis for this category of patients is favorable; however, the challenge lies in the heterogeneity of clinical and laboratory manifestations, which often makes it difficult to establish a definitive diagnosis.
Full Text
Врожденные дизэритропоэтические анемии (congenital dyserythropoietic anemia, CDA) - группа редких наследственных заболеваний, характеризующихся неэффективным эритропоэзом и наличием определенных морфологических аномалий эритроидных предшественников в костном мозге (КМ) [1]. Дизэритропоэзом называют патологическое соотношение процессов пролиферации и дифференцировки эритроидных клеток, что отражается на их морфологических особенностях (рисунок 1). Термин «дизэритропоэз» впервые был использован исследователями J. Crookston и H. Heimpel для случаев, которые позже были определены как CDA I и II типов [2, 3]. Клиническая картина характеризуется развитием нормоцитарной, реже макроцитарной, нормо- или гипорегенераторной анемии различной степени тяжести, спленомегалией и формированием желчнокаменной болезни [1].
В основном диагноз CDA ставится по результатам молекулярно-генетических исследований и при выявлении определенных морфологических аномалий эритроидных предшественников в КМ. Морфологические изменения включают в себя гиперплазию эритроидных клеток, изменение количества ядер в эритробластах (2 ядра и более), наличие межядерных и/или цитоплазматических мостиков.
Дизэритропоэтические анемии вызваны мутациями нескольких генов: CDAN1, C15orf41, SEC23B, KIF23 и KLF1. Например, CDA I типа вызвана биаллельными мутациями гена CDAN1 или C15orf41, CDA II типа связана с мутациями гена SEC23B, а CDA IV типа - с гетерозиготной мутацией в транскрипционном факторе KLF1. Эти мутации приводят к возникновению различных гетерогенных фенотипов, что затрудняет дифференциальный диагноз между другими типами наследственных анемий [4].
CDA охватывают обширную группу монолинейных цитопений, которые можно разделить на 3 основных типа (I-III), а также CDA, связанные с нарушением транскрипционных факторов (IV тип) и синдромальные формы.
CDA I типа характеризуется наличием макроцитарной, гипорегенераторной анемии средней или тяжелой степени тяжести, для этого типа характерны некоторые фенотипические особенности (скелетно-мышечные аномалии, низкий рост) [5]. При исследовании в КМ наблюдается от 2 до 10% эритробластов, которые являются двухъядерными и большинство более ранних предшественников также имеют 2 ядра и более [6]. Из типичных морфологических особенностей обращает на себя внимание наличие тонких межъядерных хроматиновых мостиков между парами ядер эритробластов, эти мостики наблюдаются у 79% пациентов с CDA I типа (рисунок 2) [7]. Данный тип имеет аутосомно-рецессивный механизм наследования, причем генетический дефект возникает в обоих аллелях, но в 2 разных локусах и в более чем 90% случаев приходится на мутации генов CDAN1 и C15orf41. Оба белка, кодируемые данными генами, вероятно, играют роль в репарации ДНК и сборке хроматина после репликации ДНК [8, 9].
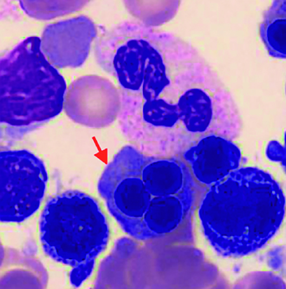
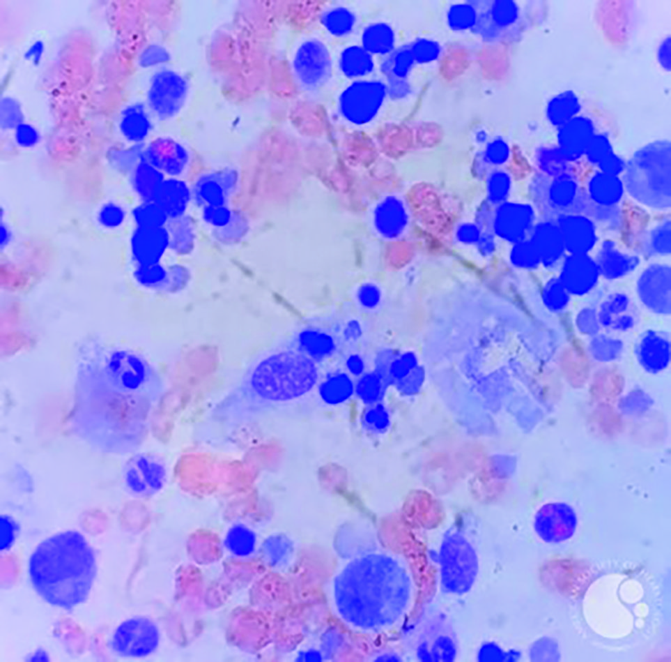
CDA II типа является наиболее распространенной формой, она проявляется нормоцитарной, нормо- или гиперрегенераторной анемией различной степени тяжести, часто сопровождается развитием желтухи и спленомегалией [4]. КМ при CDA II типа гиперклеточный, с выраженными явлениями гиперплазии эритроидных клеток. Из типичных морфологических признаков наблюдается наличие эритроидных предшественников с 2 ядрами (рисунок 3). Если наблюдается >10% двухъядерных эритробластов и >2% клеток с кариорексисом (т. е. фрагментацией ядра с распадом хроматина на неструктурированные гранулы), диагноз CDA II типа практически не вызывает сомнений [6]. Специфической характеристикой мембранных белков является наличие недостаточно гликозилированного белка полосы 3, которая наблюдается у 95% пациентов с CDA II типа [10]. Данный тип наследуется аутосомно-рецессивно, мутации возникают в обоих аллелях гена SEC23B. Ген SEC23B и кодируемый им белок SEC23A являются основными компонентами комплекса белков оболочки II (COPII), их функция заключается в формировании везикул для транспорта веществ из эндоплазматического ретикулума в комплекс Гольджи [1, 11].
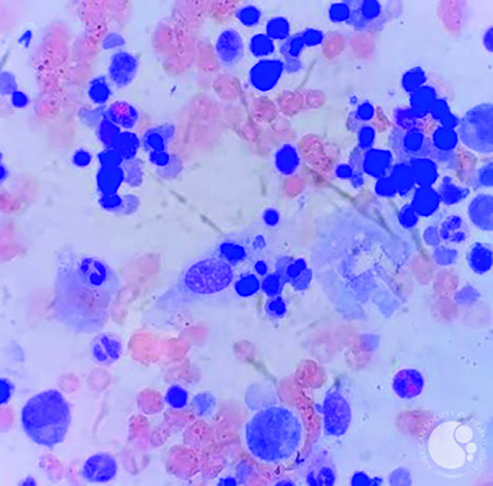
Рисунок 1. Морфологическая картина дизэритропоэза в КМ (адаптировано из ASH Image bank, N. Wasekar и соавт.)
На снимке видны многоядерные эритробласты, признаки кариорексиса
Figure 1. The morphological pattern of dyserythropoiesis in the bone marrow (BM) (adapted from ASH Image bank N. Wasekar, et al.)
Multinucleated erythroblasts and signs of karyorrhexis can be seen in this image
Рисунок 2. Картина КМ при CDA I типа (адаптировано из A. Iolascon [4])
Грелкой указаны типичные межъядерные хроматиновые мостики
Figure 2. The BM pattern in CDA type I (adapted from A. Iolascon [4])
The arrow indicates typical internuclear chromatin bridges
Рисунок 3. Морфологическая картина КМ при CDA II типа (адаптировано из ASH Image bank, G. Venkataraman и соавт.)
На снимке можно различить эритробласты, которые несут в себе 2 ядра и более
Figure 3. The morphological pattern of BM in CDA type II (adapted from ASH Image bank G. Venkataraman, et al.)
The image allows us to distinguish erythroblasts carrying two or more nuclei
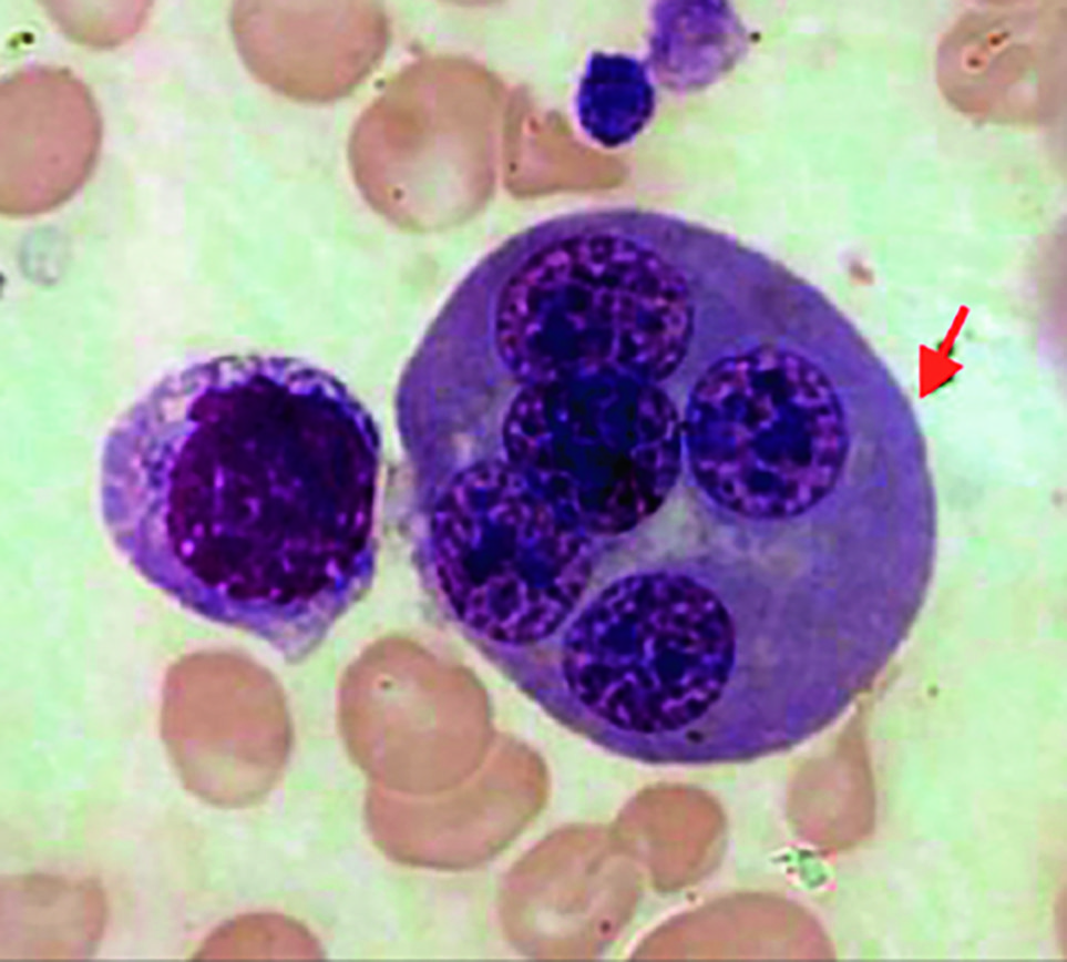
Рисунок 4. Гигантские многоядерные эритробласты при CDA III типа (адаптировано из A. Iolascon [4])
Figure 4. Giant multinucleated erythroblasts in CDA type III (adapted from A. Iolascon [4])
CDA III типа - наиболее редко встречающаяся из 3 классических форм разновидность CDA. Характеризуется аутосомно-доминантным типом наследования, на сегодняшний день описано наибольшее число пациентов из Америки и Швеции [12]. По сходству клинической картины III тип напоминает I и II типы, однако у пациентов с CDA III типа спленомегалия отсутствует. У большинства описанных пациентов из Швеции присутствуют офтальмологические нарушения (снижение остроты зрения, ангиоидные полосы, макулярная дегенерация). Также вызывает интерес тот факт, что у части пациентов в крови наблюдалась моноклональная гаммапатия, которая впоследствии трансформировалась в множественную миелому. В периферической крови в небольшом количестве преобладают макроцитарные формы эритроцитов, количество ретикулоцитов может быть в норме или слегка сниженным. При световой микроскопии КМ выявляется гиперплазия эритроидных клеток с характерными гигантскими многоядерными эритробластами (рисунок 4) [13]. При CDA II типа идентифицирована причинная мутация гена KIF23, который описан в американской и шведской родословных. Белок, кодируемый этим геном, является членом семейства кинезиноподобных белков, который обеспечивает правильное разделение клеток во время телофазы. Мутация гена KIF23 приводит к образованию крупных многоядерных эритробластов в КМ у этих пациентов [13].
На сегодняшний день известно о 8 пациентах с CDA IV типа. У них наблюдаются клинико-лабораторные признаки гемолитической анемии. Гемолитическая анемия, как правило, средней, чаще тяжелой степени тяжести по уровню ретикулоцитов, нормо-, реже гиперрегенераторная с повышенным уровнем фетального гемоглобина. В миелограмме наблюдается картина гиперклеточного КМ, верифицируются двухъядерные или многоядерные эритробласты (рисунок 5, таблица). При электронной микроскопии выявляются незрелые эритроидные предшественники с атипичными цитоплазматическими включениями, инвагинацией ядерной мембраны [14, 15]. CDA IV типа передается аутосомно-доминантным путем и характеризуется наличием уникальной перестройки c.973G>A (p.E325K) в гене KLF1. Этот ген кодирует одноименный транскрипционный фактор KLF1, который играет одну из ведущих ролей в регуляции переключения между гемоглобином А и F, вторая его функция заключается в координировании процессов дифференцировки [16].
Рисунок 5. Многоядерные эритробласты при CDA IV типа (адаптировано из A. Iolascon [4])
Figure 5. Multinucleated erythroblasts in CDA type IV (adapted from A. Iolascon [4])
Молекулярный механизм генетического дефекта KLF1 p.E325K заключается в нарушении распознавания мутировавшим геном своего нормального сайта либо в неправильной сборке белкового комплекса. Это приводит к дисрегуляции экспрессии поверхностно-мембранных транспортных белков, а также протеинов, которые участвуют во внутриклеточном метаболизме железа, делении клеток и регуляции клеточного цикла (рисунок 6) [17].
В настоящее время основными методами лечения пациентов с CDA является симптоматическая терапия, а именно заместительные трансфузии донорских эритроцитов и хелаторная терапия. Стандартное ведение пациента с CDA заключается в периодической оценке показателей гемограммы и метаболизма железа, а также необходим инструментальный мониторинг перегрузкой железом каждые 6 мес. Зачастую у пациентов с CDA вследствие неэффективного эритропоэза наблюдается снижение продукции гепсидина, что ведет к резкому усилению всасывания железа в желудочно-кишечном тракте и системной перегрузке железом и является основным осложнением у данной категории больных [10]. Если рассматривать данный феномен на молекулярном уровне, то потеря функции, в частности SEC23B, нарушает гликозилирование мембранных белков, которые участвуют в активации сигнального пути BMP-SMAD, что сопровождается снижением синтеза гепсидина как у пациентов, так и в клеточных моделях CDA [18].
Из-за противоречий в результатах описания серии клинических случаев достаточно неоднозначным клиническим эффектом обладает спленэктомия. Согласно последним рекомендациям по спленэктомии, кроме наследственного сфероцитоза, для которого имеются доказательства эффективности, эффективность спленэктомии в лечении CDA еще не до конца выяснена, также вызывают опасения отсроченные негативные эффекты в виде тромботических и инфекционных осложнений [19].
Рисунок 6. Схематичное изображение патогенеза CDA на молекулярном уровне (адаптировано из A. IoLascon [4])
Figure 6. Schematic representation of CDA pathogenesis at the molecular level (adapted from A. Iolascon [4])
Таблица. Молекулярные и клинико-лабораторные изменения у пациентов с CDA
Table. Molecular and clinical and laboratory changes in patients with CDA
Тип CDA CDA type | Дефектный ген A defective gene | Локализация дефекта Defect localization | Тип наследования Type of inheritance | Количество описанных случаев The number of cases described | Изменения в KM при оптической и электронной микроскопии Changes in ВМ under optical and electron microscopy | Показатели гемограммы Blood test results | Особенности лабораторной картины Peculiarities of the laboratory picture | Особенности клинической картины и фенотипа Peculiarities of clinical status and phenotype |
la | CDAN1 | 15ql5.2 | Аутосомно- рецессивный Autosomal recessive | Менее 100 Less than 100 | Эритробласты с 2 ядрами (3-7%), которые имеют тонкие хроматиновые мостики, гетерохроматин в виде «швейцарского сыра» Erythroblasts with two nuclei (3-7%) that have thin chromatin bridges, heterochromatin with a ‘Swiss cheese' appearance | tMCV t ИЛИ r N RET 'Базофильная зернистость RBC "Basophilic granularity of RBC | tt Лактатдегидрогеназа/ Lactate dehydrogenase tt Fe ttt Ферритин/ irritin 1 Гаптоглобин/ laptoglobin | Врожденные аномалии: синдактилия кистей или стоп, отсутствие ногтей или сверхнормативные пальцы, деформация по типу голубиной груди и низкий рост Congenital anomalies: hand or foot syndactyly, missing nails or supernumerary fingers, pigeon chest deformity and short stature |
lb | C15orf41 | 15ql4 | Аутосомно- рецессивный Autosomal recessive | Менее 10 Less than 10 | ||||
II | SEC23B | 20pll.23 | Аутосомно- рецессивный Autosomal recessive | Более 200 More than 200 | Большое количество эритробластов с 2 ядрами (10-30%), редкие многоядерные эритробласты, наличие двойной цитоплазматической мембраны A large number of erythroblasts with two nuclei (10— 30%), rare multinucleated erythroblasts, the presence of a double cytoplasmic membrane | INMCV TT RET | tt Fe tt Ферритин/ rritin •HEMPAS | Желтуха, спленомегалия Jaundice, splenomegaly |
III | KIF23 | 15q21 | Аутосомно- доминантный Autosomal dominant | Менее 20 Less than 20 | Гигантские многоядерные (до 12) эритробласты, митохондрии содержат железо, множество «расщелин» в гетерохроматине Giant multinucleated erythroblasts that contain up to 12 nuclei, mitochondria contain iron, many “clefts" in heterochromatin | tttMCV TT RET T игантские многоядерные RBC "Giant multinucleated RBC | N: Fe, ферритин/ferritin t или/or N лактатдегидрогеназа/ lactate dehydrogenase, гаптоглобин/haptoglobin | Отсутствие гепатоспленомегалии Lack of hepatosplenomegaly |
IV | KLF1 | 19pl3.2 | Аутосомно- доминантный Autosomal dominant | Менее 10 Less than 10 | Эритробласты, содержащие 3 ядра и более, инвагинация ядерной мембраны, ядерное кровоизлияние Erythroblasts containing three or more nuclei, the invagination of the nuclear membrane, nuclear “hemorrhage" | N MCV t или/ N RET 'Ядросодержащие формы RBC •Nucleated forms of RBC | ttt Ферритин/ irritin tt Fe | Низкий рост, гепатоспленомегалия, талассемические черты лица Short stature, hepatosplenomegaly, “thalassemia" facial features |
XLTDA | GATA1 | Xpll.23 | Х-сцепленный рецессивный X-linked recessive | Менее 10 Less than 10 | Мегалобластические черты эритропоэза, уменьшение а-гранул в тромбоцитах, диспластический фенотип тромбоцитов Megaloblastic features of erythropoiesis, reduced alpha-granules in platelets, and dysplastic platelet phenotype | tt MCV, RET I PLT | N: Fe, ферритин/ferritin tt Hb F | Низкий рост, гепатоспленомегалия, в редких случаях развитие желтухи Short stature, hepatosplenomegaly, in rare cases, the development of jaundice |
У большинства пациентов с CDA наблюдается анемия легкой или средней степени тяжести, которая не требует гемотрансфузионной терапии. Среди новорожденных с CDA I и II типов около 50% и 10% соответственно нуждаются как минимум в 1 гемотрансфузии, а некоторые пациенты впоследствии остаются трансфузионно-зависимыми. Кроме того, совместное наследование других гемоглобинопатий, таких как а- или р-талассемия, и мембранопатий, а также дефицит глюкозо-6-фосфатдегидрогеназы отягощает клинический фенотип пациентов, приводя к наиболее выраженной трансфузионной зависимости [20, 21]. Длительные гемотрансфузии напрямую способствуют развитию вторичной перегрузки железом. Для ее лечения единственной терапевтической опцией является применение железохелатирующих средств. Рекомендации по хелаторной терапии у пациентов с CDA в целом соответствуют таковым у пациентов с талассемиями. Поэтому ранняя диагностика этих состояний имеет решающее значение для предотвращения перегрузки железом. Важно периодически оценивать параметры баланса железа в сыворотке крови, такие как ферритин, насыщение трансферрина, гепцидин, и оценивать накопление железа в печени и сердце с помощью неинвазивных методов, таких как Т2-режим магнитно-резонансной томографии [22].
Другой спорной терапевтической опцией является применение интерферона (IFN)-2a, он эффективен у пациентов с мутацией гена CDAN1, ранее проведенные исследования продемонстрировали хороший гематологический ответ у пациентов на IFN-a. Но показывает ли он эффективность у пациентов с другими типами CDA, до конца остается неясным [9, 23]. Есть предположение, что носительство определенных полиморфизмов может увеличивать эффективность терапии IFN-2a. Исследования, проведенные на клеточных линиях, обработанных IFN-a, позволили установить, что он влияет на ряд важных сигнальных путей и транскрипционных факторов [24, 25]. Недавно проведенное исследование A. Abu-Quider и соавт. (2020) показало, что 6 из 7 пациентов, получавших пегилированный IFN-a, достигли трансфузионной независимости. Примечательно, что у пациентов, получавших пегилированный IFN-2a, снижается активность гемолиза, но сохраняется высокая концентрация ферритина. Возможно, IFN предотвращает непосредственный апоптоз эритроидных клеток, но при этом процессы дизэритропоэза не прекращаются [26]. E. Khattab и соавт. (2022) описали 2 пары сиблингов (брат и сестра) с диагнозом CDA I типа, которые получали пегилированный IFN-2a с последующим продолжительным гематологическим ответом [27].
Касательно применения витамина B12, фолиевой кислоты и эритропоэтина можно однозначно сделать вывод о том, что данные препараты не имеют доказанного эффекта у пациентов с CDA.
В целом долгосрочный прогноз у пациентов с CDA благоприятный, однако трансплантация гемопоэтических стволовых клеток (ТГСК) является единственной излечивающей опцией у них. В некоторых сообщениях описаны случаи, в которых показана эффективность ТГСК, но данные мировой литературы скудны, ограничиваются отдельными описаниями и небольшими ретроспективными исследованиями [21, 28-30]. M. Miano и соавт. (2019) провели масштабное ретроспективное исследование по оценке эффективности и безопасности ТГСК при CDA. В ретроспективный анализ были включены 39 пациентов, у всех наблюдалось приживление трансплантата. Показатели общей (ОВ) и бессобытийной (БСВ) выживаемости через 36 мес составили 71% и 45% соответственно. На исход влияли тип донора и предшествующая перегрузка железом: неродственный донор и предшествующая перегрузка железом коррелировали с худшими показателями ОВ и БСВ [31]. Другое менее масштабное ретроспективное исследование было проведено педиатрическим консорциумом по трансплантации костного мозга и клеточной терапии. В ретроспективный анализ включили 18 пациентов с CDA (13 пациентов с CDA II типа, 2 - с CDA I типа и 3 - с CDA неизвестного типа). У 4 из 18 пациентов зарегистрировано неприживление трансплантата после 2 или 3 ТГСК. При медиане наблюдения 3,2 года (диапазон от 0,6 до 14 лет) 2-летняя ОВ и БСВ составили 88% и 65% соответственно [32].
ОБСУЖДЕНИЕ РЕЗУЛЬТАТОВ ИССЛЕДОВАНИЯ
CDA - достаточно редкий тип наследственных анемий, в мире зарегистрировано больше 110 случаев CDA I типа, 300 случаев CDA II типа и меньше 30 случаев CDA III типа. В связи с общей клинико-лабораторной картиной с другими видами наследственных гемолитических анемий (например, дефицит пируваткиназы, наследственный стоматоцитоз) могут возникнуть трудности в постановке окончательного диагноза CDA [12, 33, 34].
На данный момент ТГСК остается единственной куративной опцией у пациентов с трансфузионно-зависимыми формами CDA, которая показала многообещающие результаты в лечении данной патологии, однако к их интерпретации нужно относиться с осторожностью из-за ограниченной выборки исследований. В работе Европейского общества трансплантации крови и КМ были продемонстрированы достаточно неплохие результаты ТГСК у пациентов с CDA, что, возможно, подчеркивает потенциал трансплантации в качестве терапевтической опции. Данное исследование показало, что показатели ОВ и БСВ через 36 мес составили 71% и 45% соответственно. В текущем исследовании собрана самая крупная когорта пациентов, подвергшихся ТГСК при CDA. В ранее опубликованных статьях размеры выборки были намного меньше, они включали в общей сложности 13 пациентов с CDA I-III типов [35].
Для лечения наследственных анемий постоянно тестируются альтернативные фармакологические опции. Новые фармакологические агенты, которые воздействуют на трансформирующий фактор роста-р (TGF-p), а именно луспатерцепт и сотатерцепт, рассматриваются в качестве потенциальных средств лечения CDA II типа и дают обнадеживающие результаты.
Отдельно хотелось бы остановиться на роли сигнализации TGF-р в регуляции гемопоэза. Она играет важную роль в регуляции нишевых взаимодействий между гемопоэтическими стволовыми клетками и другими клеточными структурами. У части пациентов с наследственными анемиями и миелодиспластическим синдромом происходит функциональная активация сигнальных кофакторов или лигандов TGF-р, таких как факторы дифференцировки роста (GDF), которые в основном секретируются гемопоэтическими и мезенхимальными стволовыми клетками [36]. В норме сигнализация TGF-р проявляется миелосупрессивными свойствами и подавляет эритроидную дифференцировку путем индукции апоптоза и остановки клеточного цикла в эритробластах [37, 38]. Во время физиологической пролиферации и дифференцировки происходит подавление активности сигнализации TGF-р, это приводит к снижению экспрессии GDF [39]. В эксперименте на лабораторных животных было показано, что постоянная стимуляция GDF вызывает анемию и гиперплазию эритроидных клеток [40]. Гипотетически в гемопоэтических стволовых клетках у этих пациентов должны наблюдаться сверхэкспрессия и повышенный уровень фосфорилированного Smad2/3, который активирует транскрипцию генов-мишеней TGF-р.
В связи с вышеперечисленными патогенетическими изменениями были разработаны препараты-«ловушки» лигандов активиновых рецепторов (луспатерцепт, сотатерцепт), которые направлены на коррекцию неэффективного эритропоэза. Эти фармакологические агенты показали обнадеживающие результаты в фазах I и II клинических испытаний для пациентов с р-талассемией [41].
Данные препараты состоят из внеклеточного домена этого TGF-р-рецептора, соединенного с Fc-доменом человеческого иммуноглобулина G1. Изначально эти препараты были разработаны для повышения минеральной плотности костной ткани при злокачественных заболеваниях костей путем захвата активинов, однако помимо коррекции остеопороза выявлено их плейотропное действие на эритропоэз. Экспериментально было показано, что RAP-011 быстро улучшал неэффективный эритропоэз и снижал перегрузку железом в мышиных моделях, вызванную химиотерапией и р-талассемией, снижая оксидативный стресс и индуцируя апоптоз в незрелых эритробластах [38, 42]. Параллельно с этим колониеобразующих единиц и ускорению пролиферации эритроидных предшественников. Кроме того, повышался уровень гликозилирования поверхностных мембранных белков и снижался процент дефектных эритроидных клеток с измененным количеством ядер [48].
ЗАКЛЮЧЕНИЕ
CDA относятся к гетерогенной группе генетически детерминированных монолинейных цитопений. Молекулярно-генетические исследования дефектных генов показали, что дизэритропоэтические анемии имеют различные молекулярные механизмы, которые вызывают нарушения процессов пролиферации и дифференцировки в ходе эритропоэза. Некоторые неправильно транслированные белки участвуют в процессах сборки хроматина и модификации гистонов, например белок CDN1 при CDA I типа. Другие являются транскрипционными факторами, участвующими в синтезе многих белков, важных для дифференцировки эритроидных предшественников, например KLF1 и GATA1 при CDA IV типа.
Одной из сложностей в диагностике является тот факт, что CDA характеризуются общностью клинико-лабораторной картины с другими наследственными гемолитическими анемиями. Для диагностики этой группы заболеваний крайне важно проводить молекулярно-генетическую диагностику.
Несмотря на успехи в понимании молекулярных механизмов в патогенезе CDA, остается неясным, почему процессы эритропоэза чувствительны к дефектам генов CDАN1 и SEC23B, ведь белки CDAN1 и SEC23B экспрессируются во многих тканях и органах. На сегодняшний день идентифицировано множество генов, ассоциированных с развитием CDA, но каким образом это приводит к развитию морфологических изменений (многоядерности) также до конца остается неясным.
ИСТОЧНИК ФИНАНСИРОВАНИЯ
Не указан.
КОНФЛИКТ ИНТЕРЕСОВ
Авторы статьи подтвердили отсутствие конфликта интересов, о котором необходимо сообщить.
About the authors
Vladislav V. Klyukhin
Dmitry Rogachev National Medical Research Center of Pediatric Hematology, Oncology and Immunology
Email: nccxbak@mail.ru
ORCID iD: 0009-0000-6734-0331
SPIN-code: 8726-2262
Russian Federation, Moscow
Natalia S. Smetanina
Dmitry Rogachev National Medical Research Center of Pediatric Hematology, Oncology and Immunology
Author for correspondence.
Email: nataliya.smetanina@dgoi.ru
ORCID iD: 0000-0003-2756-7325
SPIN-code: 3723-7536
MD, Dr. Sci. (Medicine), Professor
Russian Federation, MoscowReferences
- Khincha P., Savage S. Neonatal manifestations of inherited bone marrowfailure syndromes. Semin Fetal Neonatal Med 2016; 21 (1): 57–65.
- Da Costa L., Leblanc T., Mohandas N. Diamond–Blackfan anemia. Blood 2020; 136 (11): 1262–73.
- Willig T., Niemeyer C., Leblanc T., Tiemann C., Robert A., Budde J., et al. Identification of new prognosis
- factors from the clinical and epidemiologic analysis of a registry of 229 Diamond–Blackfan anemia patients. Pediatr Res 1999; 46: 553–61.
- Ulirsch J., Verboon J., Kazerounian S., Guo M., Yuan D., Ludwig L., et al. The genetic landscape of Diamond–
- Blackfan anemia. Am J Hum Genet 2018; 103 (6): 930–47.
- Chernov V.M., Ovsyannikova G.S., Yudina M.B., Rogov A.V., Sokolova N.E., Shamin A.V., et al. Epilemiological characteristics of Diamond–Blackfen anemia in pediatric population of the Russian Federation. Pediatric Hematology/Oncology and Immunopathology 2019; 18 (3): 22–8. (In Russ.).
- Vlachos A., Ball S., Dahl N., Alter B., Sheth S., Ramenghi U., et al. Participants of Sixth Annual Daniella Maria Arturi International Consensus Conference. Diagnosing and treating Diamond–Blackfan anaemia: results of an international clinical consensus conference. Br J Haematol 2008; 142 (6): 859–76.
- Choesmel V., Bacqueville D., Rouquette J., Noaillac-Depeyre J., Fribourg S., Crétien A., et al. Impaired ribosome biogenesis in Diamond–Blackfan anemia. Blood 2007; 109 (3): 1275–83.
- Engidaye G., Melku M., Enawgaw B. Diamond–Blackfan anemia: genetics, pathogenesis, diagnosis and treatment. EJIFCC. 2019; 30 (1): 67–81.
- Bartels M., Bierings M. How I manage children with Diamond–Blackfan anaemia. Br J Haematol 2018; 184: 123–33.
- Diaz-De-Heredia C., Bresters D., Faulkner L., Yesilipek A., Strahm B., Miano M., et al. Recommendations on hematopoietic stem cell transplantation for patients with Diamond–Blackfan anemia. On behalf of the pediatric diseases and severe aplastic anemia working parties of the EBMT. Bone Marrow Transplant 2021; 56: 2956–63.
- Vlachos A. Pilot phase I/II study of amino acid leucine in treatment of patients with transfusion-dependent Diamond–Blackfan anemia. Clinical-Trials.gov Identifier: NCT01362595
- Wiestner A. Rituximab to treat moderate aplastic anemia, pure red cell aplasia, or Diamond–Blackfan anemia. ClinicalTrials.gov Identifier: NCT00229619.
- Gotlib R. Pilot lenalidomide in adult Diamond–Blackfan anemia patients w/RBC transfusion-dependent anemia. ClinicalTrials.gov Identifier: NCT01034592.
- Vlachos A. The use of trifluoperazine in transfusion dependent DBA (DBA). ClinicalTrials.gov Identifier: NCT03966053.
- Vlachos A., Atsidaftos E., Lababidi M., Muir E., Rogers Z., Alhushki W., et al. L-leucine improves anemia and growth in patients with transfusion-dependent Diamond–Blackfan anemia: Results from a multicenter pilot phase I/II study from the Diamond–Blackfan Anemia Registry. Pediatr Blood Cancer 2020; 67 (12): e28748.
- Ovsyannikova G., Poloznikov A., Maschan M., Smetanina N. Response to L-Leucine Therapy in patients with Daimond–Blakfan anemia and serum L-leucine concentrations. Blood 2015; 126 (23): 3619.
- Arbiv O., Cuvelier G., Klaassen R., Fernandez C., Robitaille N., Steele M., et al. Molecular analysis and genotype- phenotype correlation of Diamond–Blackfan anemia. Clin Genet 2018; 93 (2): 320–8.
- Bhoopalan S., Yen J., Mayuranathan T., Mayberry K., Yao Y., Lillo Osuna M., et al. An RPS19-edited model for Diamond-Blackfan anemia reveals TP53-dependent impairment of hematopoietic stem cell activity. JCI Insight 2023; 8 (1): e161810.
- Rio S., Gastou M., Karboul N., Derman R., SuriyunT., Manceau H., et al. Regulation of globin-heme balance in Diamond Blackfan anemia by HSP70/GATA1. Blood 2019; 133 (12): 1358–70.
- Yang Z., Keel S., Shimamura A., Liu L., Gerds A., Li H., et al. Delayed globin synthesis leads to excess heme and the macrocytic anemia of Diamond–Blackfan anemia and del(5q) myelodysplastic syndrome. Sci Transl Med 2016; 8 (338): 338–67.
- Qanash H., Li Y., Smith R., Linask K., Young-Baird S., Hakami W., et al. Eltrombopag improves erythroid differentiation in a human induced pluripotent stem cell model of Diamond–Blackfan anemia. Cells 2021; 10: 734.
- Yoshihara H., Arai F., Hosokawa K., Hagiwara T., Takubo K., Nakamura Y., et al. Thrombopoietin/MPL
- signaling regulates hematopoietic stem cell quiescence and interaction with the osteoblastic niche. Cell Stem Cell 2007; 1 (6): 685–97.
- Bussel J., Kulasekararaj A., Cooper N., Verma A., Steidl U., Semple J., et al. Mechanisms and therapeutic prospects of thrombopoietin receptor agonists. Semin Hematol 2019; 56 (4): 262–78.
- Townsley D., Scheinberg P., Winkler T., Desmond R., Dumitriu B., Rios O., et al. Eltrombopag added to standard immunosuppression for aplastic anemia. N Engl J Med 2017; 376: 1540–50.
- Bussel J., Cheng G., Saleh M., Psaila B., Kovaleva L., Meddeb B., et al. Eltrombopag for the treatment of chronic idiopathic thrombocytopenic purpura. N Engl J Med 2007; 357: 2237–47.
- McHutchison J., Dusheiko G., Shiffman M., Rodriguez-Torres M., Sigal S., Bourliere M., et al. Eltrombopag for thrombocytopenia in patients with cirrhosis associated with hepatitis C. N Engl J Med 2007; 357: 2227–36.
- Kao Y., Chen J., Narayanagari S., Todorova T., Aivalioti M., Ferreira M., et al. Thrombopoietin receptor-independent stimulation of hematopoietic stem cells by eltrombopag. Sci Transl Med 2018; 10 (458): eaas9563.
- Winkler T., Townsley D., Desmond R., Dumitriu B., Grasmeder S., Young N.S., et al. Successful treatment of a Diamond–Blackfan anemia (DBA) patient with eltrombopag. Blood 2016; 128 (22): 2682.
- Xing F., Desmond R., Winkler T., Young D., Dumitriu B., Townsley D., et al. Eltrombopag for patients with moderate aplastic anemia or uni-lineage cytopenias. Blood Adv 2020; 4 (8): 1700–10.
- Winter M., Funk J., Körner A., Alberati D., Christen F., Schmitt G., et al. Effects of GlyT1 inhibition on erythropoiesis and iron homeostasis in rats. Exp Hematol 2016; 44 (10): 964–74.
- Duncan B., Lotter J., Superata J., Barranta M., Machado T., Darden I., et al. Treatment of refractory/relapsed Diamond Blackfan anaemia with eltrombopag. Br J Haematol 2024; 204 (5): 2077–85.
- Hacein-Bey-Abina S., Hauer J., Lim A., Picard C., Wang G., Berry C., et al. Efficacy of gene therapy for X-linked severe combined immunodeficiency. N Engl J Med 2010; 363: 355–64.
- Thompson A.A., Walters M.C., Kwiatkowski J., Rasko J.E.J., Ribeil J.A., Hongeng S., et al. Gene therapy in patients with transfusion-dependent beta-thalassemia. N Engl J Med 2018; 378: 1479–93.
- Sessa M., Lorioli L., Fumagalli F., Acquati S., Redaelli D., Baldoli C., et al. Lentiviral haemopoietic stem-cell gene therapy in early-onset metachromatic leukodystrophy: an ad-hoc analysis of a non-randomised, open-label, phase 1/2 trial. Lancet 2016; 388: 476–87.
- Richard A., Voit X., Cohen B., Armant M., Kamal E., Mei-Mei Huang W., et al. Regulated expression of GATA1 as a gene therapy cure for Diamond–Blackfan anemia. Blood 2022; 140: 986–7.
- Del Borrello G., Miano M., Micalizzi C., Lupia M., Ceccherini I., Grossi A., et al. Sirolimus restores erythropoiesis and controls immune dysregulation in a child with cartilage- hair hypoplasia: A case report. Front Immunol 2022; 13: 893000.
- Recasens-Alvarez C., Alexandre C., Kirkpatrick J., Nojima H., Huels D., Snijders A., et al. Ribosomopathy- associated mutations cause proteotoxic stress that is alleviated by TOR inhibition. Nat Cell Biol 2021; 23: 127–35.
- Zhang X., Campreciós G., Rimmelé P., Liang R., Yalcin S., Mungamuri S., et al. FOXO3-mTOR metabolic cooperation in the regulation of erythroid cell maturation and homeostasis. Am J Hematol 2014; 89: 954–63.
- Acar M., Jupelli M., MacBeth K., Schwickart M. Rapamycin (Sirolimus) and Rap-536 increase red blood cell parameters through distinct mechanisms in wild-type and thalassemic mice. Blood 2020; 136: 17.
- Vale M., Prochazka J., Sedlacek R. Towards a cure for Diamond–Blackfan anemia: views on gene therapy. Cells 2024; 13 (11): 920.
- Newby G., Yen J., Woodard K., Mayuranathan T., Lazzarotto C., Li Y., et al. Base editing of haematopoietic stem cells rescues sickle cell disease in mice. Nature 2021; 595: 295–302.
- Frangoul H., Altshuler D., Cappellini M., Chen Y., Domm J., Eustace B., et al. CRISPR-Cas9 gene editing for sickle cell disease and beta-thalassemia. N Engl J Med 2021; 384: 252–60.
- Vakulskas C., Dever D., Rettig G., Turk R., Jacobi A., Collingwood M., et al. A high-fidelity Cas9 mutant delivered as a ribonucleoprotein complex enables efficient gene editing in human hematopoietic stem and progenitor cells. Nat Med 2018; 24: 1216–24.
Supplementary files









