Infantile fibrosarcoma of the hand in a 6-month-old child: opportunities of modern surgical oncology
- Authors: Sharoev T.A.1,2,3,4, Adueva U.G.5, Ivanova N.M.2,3,5, Rokhoev M.A.5,6, Skоbееv D.А.7, Kislova N.I.5,8, Pogosova A.R.9
-
Affiliations:
- The Dmitry Rogachev National Medical Research Center of Pediatric Hematology, Oncology and Immunology of Ministry of Healthcare of the Russian Federation
- Research Clinical Institute of Childhood of the Ministry of Healthcare of the Moscow Region
- The Russian Medical Academy of Continuous Professional Education of Ministry of Healthcare of the Russian Federation
- The M.F. Vladimirsky Moscow Regional Research and Clinical Institute
- The V.F. Voyno-Yasenetsky Scientific and Practical Center of Specialized Healthcare for children of the Department of Health of Moscow
- The N.F. Filatov Children's City Clinical Hospital of the Department of Health of Moscow
- The Morozov Children's City Clinical Hospital of the Department of Health of Moscow
- The I.M. Sechenov First Moscow State Medical University of the Ministry of Healthcare of the Russian Federation (the Sechenov University)
- The N.I. Pirogov Russian National Research Medical University of Ministry of Healthcare of the Russian Federation
- Issue: Vol 24, No 3 (2025)
- Pages: 112-118
- Section: CLINICAL OBSERVATIONS
- Submitted: 19.06.2025
- Accepted: 02.09.2025
- Published: 13.12.2025
- URL: https://hemoncim.com/jour/article/view/989
- DOI: https://doi.org/10.24287/j.989
- EDN: https://elibrary.ru/RGAXEO
- ID: 989
Cite item
Full Text
Abstract
Infantile fibrosarcoma (IF) is a rare soft-tissue tumor found in children and consisting of malignant fibroblasts. The incidence of IF in children during the first year of life is low compared with that of other types of malignant tumors and is estimated to be five cases per million infants. Most IF arise in the limbs and trunk, and only a small number of these tumors occur in the head and neck area.
Objective: to demonstrate the opportunities of modern surgical oncology for malignant tumors of the hand in children of the first year of life.
Case report. When the child M. was 2.5 months old, her parents found a lump at the base of the palmar surface of the right hand. After consultations with a pediatric surgeon and an orthopedic specialist at the place of residence, the patient was diagnosed with hygroma. An ultrasound examination of the soft tissues of the right hand performed on 11 August 2022 confirmed the diagnosis of hygroma (4.1 × 2.4 mm in size). A watch-and-wait strategy was recommended. After 2 months, the tumor increased 5-fold in size. At the end of October 2022, after magnetic resonance imaging, a soft-tissue tumor was suspected. Contrast-enhanced magnetic resonance imaging revealed a solid tumor, possibly malignant. The child was admitted to the Pediatric Oncology Department of the regional oncology hospital, where a biopsy of the neoplasm was performed. IF was diagnosed. Due to a high risk of hand amputation, the child was transferred to the V.F. Voyno-Yasenetsky Scientific and Practical Center of Specialized Healthcare for children of the Department of Health of Moscow for surgical treatment. When the child was admitted to the Department of Oncology, the tumor size was 4.5 × 4.0 × 3.0 cm. On 29 November 2022, an organ-preserving surgery was performed: removal of the soft-tissue tumor on the palmar surface of the right hand with grafting using local tissues. Histological and immunohistochemical conclusion: IF. After the surgery, the patient received 4 courses of adjuvant polychemotherapy. She tolerated the treatment satisfactorily. Two years after the end of specific therapy, the child remains healthy with no signs of disease relapse, and is under regular follow-up by a pediatrician and pediatric oncologist. The function of the operated hand has been fully restored.
Conclusion. IF is a rare disease, registered mainly in children during the first year of life. In many cases, IF in children may mimic inflammatory processes and benign soft-tissue tumors. The primary treatment approach for IF is organ-preserving radical surgery. The results of treatment depend on the time of diagnosis, the extent of the tumor involvement and the radicality of the surgery performed.
Full Text
Злокачественные новообразования (ЗНО) представляют собой редкую патологию детского возраста. В 2023 г. в России было выявлено 3057 ЗНО у детей до 15 лет, что составило 0,45% всех впервые выявленных опухолей, 3806 – у детей до 17 лет, что составило 0,56% [1].
Показатель заболеваемости составил 12,1 случая на 100 тыс. детского населения в возрасте 0–14 лет и 12,7 случая на 100 тыс. детского населения в возрасте 0–17 лет. ЗНО соединительной и других мягких тканей составили 4,6% всех новообразований у детей и 8,9% среди солидных опухолей [1].
Среди сарком мягких тканей у детей инфантильная фибросаркома (ИФ) встречается крайне редко. Заболеваемость ИФ у детей первого года жизни низкая по сравнению с другими видами ЗНО и составляет 5 случаев на 1 млн младенцев. Между тем среди злокачественных солидных опухолей мягких тканей у детей грудного возраста ИФ занимает лидирующее положение. Чаще всего ИФ обнаруживается в течение первого года жизни, а в половине случаев опухоль регистрируется уже при рождении [2–4].
По мнению E.B. Chung и F.M. Enzinger (1976), ИФ обнаруживается при рождении в 40% случаев, а в течение первого года жизни – в 77%. Реже опухоль выявляется в возрасте до 2 лет [5].
Этиология детской фибросаркомы остается неизвестной, но считается, что она возникает в результате вторичной молекулярной транслокации. Эта транслокация, t(12;15), приводит к образованию продукта слияния генов ETV6–NTRK3 и обнаруживается с помощью полимеразной цепной реакции с обратной транскрипцией [6].
Локализуется ИФ главным образом в области конечностей и туловища. Небольшая часть этих опухолей наблюдается в области головы и шеи [4].
Дифференциальный диагноз ИФ проводится с доброкачественными сосудистыми новообразованиями мягких тканей и прежде всего с гемангиомой, лимфангиомой, а также фибромой и ангиофибромой, неопухолевыми заболеваниями (воспалительными инфильтратами) и т. д. Ошибки в диагностике увеличивают время начала адекватного лечения ребенка с ИФ, что в свою очередь влияет на прогноз заболевания.
Обычно ИФ представляет собой безболезненное, быстрорастущее новообразование [7, 8]. Опухоль обильно васкуляризирована, часто прорастает в дерму, вызывая изъязвление кожи. Новообразование может прорастать в кожу, выходя за ее пределы. В таких случаях ИФ выглядит как багрово-красная опухоль, иногда с участками некроза и кровоточащей поверхностью.
Лечение ИФ предполагает хирургическое вмешательство в объеме удаления опухоли, если отрицательные края могут быть достигнуты без значительных функциональных или эстетических деформаций. После операции рассматривается вопрос о проведении адъювантной полихимиотерапии (ПХТ). Местные рецидивы возникают (5–50%), если не удается достичь отрицательного края резекции [9].
Метастазирование встречается редко, зарегистрированная частота составляет 10% [10].
Случаи со смертельными исходами встречаются у детей с более крупными новообразованиями, расположенными в области головы и шеи, когда диагностированы положительные края резекции после перенесенных операций [11].
Показатели общей выживаемости варьируют в пределах 89–94%, бессобытийной выживаемости – 81–84% [12].
КЛИНИЧЕСКИЙ СЛУЧАЙ
Пациентка М., в возрасте 2,5 месяцев родители обнаружили новообразование в области основания ладонной поверхности правой кисти. Девочка была проконсультирована детским хирургом, а затем ортопедом по месту жительства. После ультразвукового исследования (УЗИ) мягких тканей правой кисти (от 11.08.2022) диагностирована гигрома, размеры которой составляли 4,1 × 2,4 мм. Рекомендовано наблюдение в течение года. Между тем новообразование постепенно увеличивалось в размерах. По инициативе родителей в середине октября 2022 г. в коммерческом медицинском центре выполнено повторное УЗИ правой кисти. Обнаружено гипоэхогенное новообразование с неровными довольно четкими контурами, размерами 2,0 × 2,5 × 1,3 см, прилежащее к локтевому нерву. Диагноз: гигрома. Следует отметить, что к моменту повторного УЗИ, выполненного через 2 мес, опухоль увеличилась в 5 раз.
При повторной консультации детского хирурга был подтвержден диагноз гигромы и рекомендовано продолжить наблюдение.
По инициативе родителей 25 октября 2022 г. в одной из московских городских детских больниц произведена магнитно-резонансная томография (МРТ) правой кисти. Заподозрено солидное новообразование мягких тканей на ладонной поверхности правой кисти: фиброма? Шваннома?
Пациентка направлена на обследование в онкологический федеральный центр г. Москвы. При МРТ, выполненной с контрастным усилением, была диагностирована опухоль мягких тканей правой кисти, и ребенок направлен в детское отделение онкологического диспансера по месту жительства, где пациентка находилась в период с 31 октября по 11 ноября 2022 г., 2 ноября 2022 г. выполнена биопсия опухоли ладонной поверхности правой кисти.
При гистологическом исследовании биопсийного материала диагностировано ЗНО – ИФ. После проведенного врачебного консилиума ввиду больших размеров опухоли, особенностей ее локализации, возраста ребенка обсуждался вопрос об ампутации правой кисти. Родители отказались от операции такого объема и обратились за помощью в ГБУЗ г. Москвы «Научно-практический центр специализированной медицинской помощи детям им. В.Ф. Войно-Ясенецкого Департамента здравоохранения г. Москвы», 24 ноября 2022 г. девочка поступила в онкологическое отделение №1. Состояние при поступлении было оценено как средней тяжести. Со стороны органов и систем дыхания, кровообращения, пищеварения, мочевыделения – без особенностей.
Местные проявления основного заболевания
Осмотр в перевязочной: правая кисть забинтована, отмечается небольшое промокание повязки кровью. После снятия повязки на ладонной поверхности в области тенара визуализируется образование высотой ~3,0 см, диаметром ~4,0–4,5 см, с кровоточащей поверхностью (рисунок 1). Состояние после биопсии образования правой кисти от 02.11.2022. Отмечается расхождение швов в зоне биопсии опухоли.
Рисунок 1
На ладонной поверхности правой кисти в прямой и боковой проекциях определяется новообразование высотой до 3 см, диаметром ~4–4,5 см, с изъязвленной кровоточащей поверхностью
Figure 1
On the palmar surface of the right hand, in direct and lateral projections, there is a neoplasm of up to 3 cm in hight, with a diameter of ~4–4.5 cm, with an ulcerated bleeding surface
28.11.2022 выполнена МРТ кисти с внутривенным контрастированием. На ладонной поверхности правой кисти, распространяясь на область запястья, определяется однородной структуры новообразование размерами 3,0 × 3,5 × 3,0 см, интенсивно накапливающее контрастный препарат. Мягкие ткани вокруг новообразования утолщены. Мышца, отводящая мизинец, интимно прилежит к опухоли, граница нечеткая. Сухожилия поверхностного сгибателя, ладонный апоневроз без признаков инфильтрации. Магистральные сосуды интактны. Заключение: картина новообразования мягких тканей ладонной поверхности правой кисти (рисунок 2).
Рисунок 2
МРТ: на ладонной поверхности правой кисти, распространяясь на область запястья, определяется однородной структуры новообразование размерами 3,0 × 3,5 × 3,0 см, интенсивно накапливающее контрастный препарат
Figure 2
Magnetic resonance imaging: a neoplasm of homogeneous structure measuring 3.0 × 3.5 × 3.0 cm with intense contrast enhancement is observed оn the palmar surface of the right hand, extending to the wrist area
После обсуждения ребенка на консилиуме врачей отделений онкологии, лучевой диагностики, реанимации и интенсивной терапии, физиотерапии и реабилитации принято решение о выполнении хирургического вмешательства в объеме удаления опухоли мягких тканей ладонной поверхности правой кисти.
При обсуждении плана операции рассмотрены все возможные риски хирургического вмешательства с учетом анатомических и функциональных особенностей кисти, определена тактика восстановительных мероприятий раннего и более позднего реабилитационного периодов.
29.11.2022 выполнена операция: удаление опухоли мягких тканей на ладонной поверхности правой кисти с пластикой местными тканями.
Ход операции
После наложения эластичного бинта на предплечье правой руки произведена обработка спиртом кисти и нижней трети предплечья. На ладонной поверхности кисти от основания I пальца имеется опухоль, распространяющаяся на всю поверхность ладони, исходящая из мягких тканей, размерами 4,0 × 4,5 см и высотой 2,5 см. Боковая поверхность новообразования покрыта кожей, верхний полюс опухоли зияет в результате расхождения швов после ранее произведенной биопсии.
Острым путем отсепарованы кожные лоскуты кисти вокруг опухоли. Для улучшения визуализации рассечена кожа в поперечном направлении над опухолью до ее медиального края. После отсепаровки кожных лоскутов новообразование выделено из окружающих тканей. Следует отметить, что опухоль занимает практически всю ладонную поверхность (рисунок 3).
Рисунок 3
Этап операции. Опухоль выделена из окружающих тканей. Новообразование занимает практически всю ладонную поверхность
Figure 3
Stage of the surgery. The tumor is isolated from the surrounding tissues. It is noted that the neoplasm occupies almost the entire palmar surface
Новообразование плотноэластической консистенции, капсула не определяется, регистрируется подрастание опухоли на отдельных участках к дерме. Сосуды кисти выделены острым путем и сохранены. Сухожилия кисти располагаются глубже, в основании опухоли, визуализированы. Новообразование удалено макроскопически радикально в пределах видимых здоровых тканей (рисунок 4).
Рисунок 4
Внешний вид ладонной поверхности кисти после удаления опухоли. Стрелками отмечены нервы (а), сухожилия (b) и сосуды (c) кисти
Figure 4
The appearance of the palmar surface of the hand after tumor removal. The arrows indicate the nerves (а), tendons (b), and blood vessels (с) of the hand
Снята давящая повязка. При осмотре предплечья трофических нарушений не выявлено. Участки кожи, связанные с опухолью, иссечены и направлены на гистологическое исследование. Раневая поверхность обработана биполярным пинцетом и методом аргоноплазменной коагуляции. Ушивание раны выполнено узловатыми швами. Наложена салфетка со спиртом, выполнено бинтование кисти. На наружную поверхность предплечья и кисти наложена гипсовая лонгета.
Послеоперационный период протекал на фоне частичного расхождения швов и краевого некроза на отдельных участках кожи, по поводу чего была выполнена хирургическая санация патологических участков ткани.
Гистологическое заключение от 09.11.2022 (Морозовская детская городская клиническая больница Департамента здравоохранения г. Москвы): ИФ, II степени злокачественности (по системе FNCLCC). Опухоль врастает в кожу, где инфильтрирует ректикулярный слой дермы. Эпидермис интактен (рисунок 5).
Рисунок 5
При микроскопическом исследовании определяется опухоль переменной клеточности, стромальный компонент преимущественно коллагенизированный. Часть сосудов имеют гемангиоперицитома-подобную структуру. Окрашивание гематоксилином и эозином, ×40
Figure 5
Microscopic examination reveals a tumor with variable cellularity. The stromal component of the tumor is predominantly collagenized. Some of the vessels have a hemangiopericytoma-like structure. Hematoxylin and eosin staining, magnification, ×40
Иммуногистохимическое исследование от 18.11.2022: в клетках опухоли обнаружены цитокератины 8/18 (часть клеток), Ki-67 выявлен в 65% клеток. Не обнаружена экспрессия EMA, CD99, Bcl-2, CD34, Melan A, десмина, гладкомышечного актина и миогенина. Заключение: ИФ, II степени злокачественности (по системе FNCLCC) (рисунок 6).
Рисунок 6
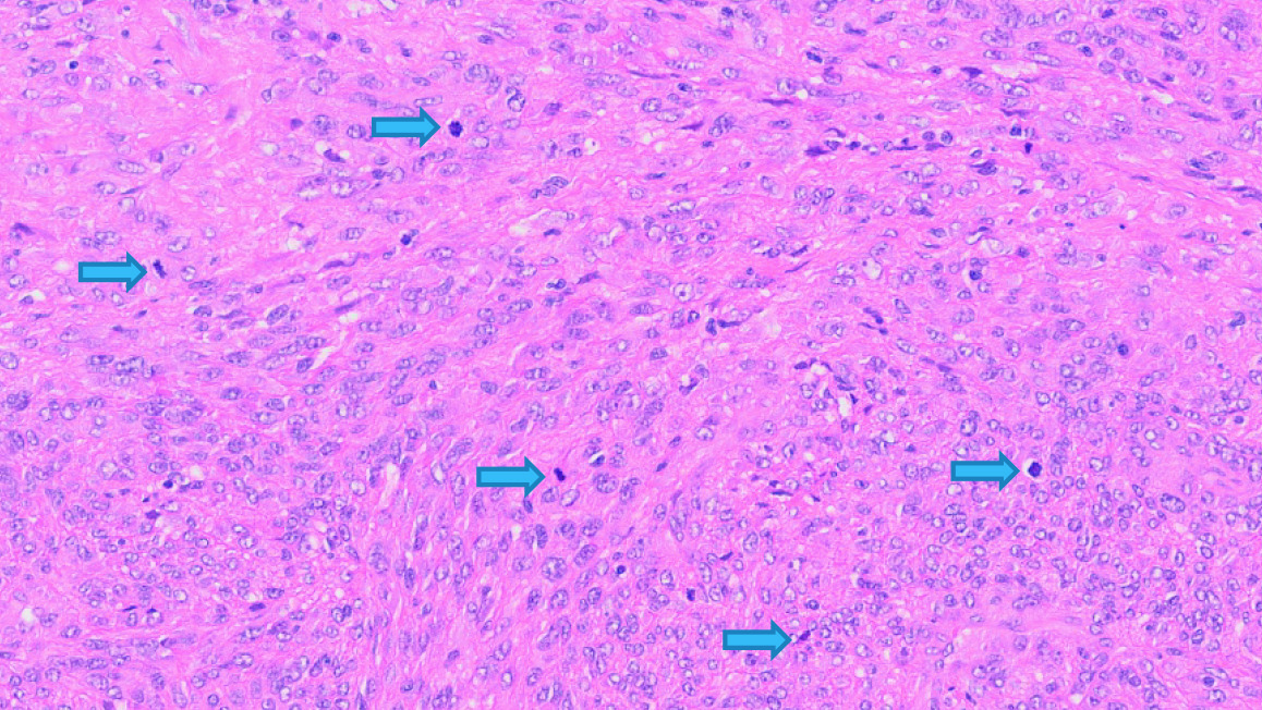
Иммуногистохимическое исследование: при большом увеличении хорошо заметна высокая митотическая активность (митозы отмечены стрелками). Клетки имеют веретеновидную и овоидную формы. Окрашивание гематоксилином и эозином, ×400
Figure 6
Immunohistochemistry: at high magnification, high mitotic activity is clearly visible (mitoses are indicated by the arrows). The cells are spindle-shaped and ovoid. Hematoxylin and eosin staining, ×400
При исследовании материала методом флуоресцентной in situ гибридизации (ETV6/NTRK3 gene fusion t(12;15) detection probe, Wuhan HealthCare Biotechnology) обнаружена хромосомная аберрация – слияние генов ETV6–NTRK3, характерное для ИФ.
Гистологические препараты были проконсультированы в референс-центре лучевых, иммуногистохимических и морфологических исследований ФГБУ «НМИЦ ДГОИ им. Дмитрия Рогачева» Минздрава России. Диагноз ИФ подтвержден.
После операции был проведен консилиум врачей-онкологов, на котором обсуждалась дальнейшая лечебная тактика. Ввиду местной распространенности опухолевого процесса, риска развития локального рецидива было принято решение о проведении адъювантной ПХТ по протоколу лечения сарком мягких тканей для группы низкого риска. Учитывая возраст ребенка, дозы химиопрепаратов были редуцированы на 30%. Перед началом ПХТ пациентке было проведено комплексное обследование, включающее МРТ кисти, сцинтиграфию скелета, компьютерную томографию органов грудной клетки, исследование миелограммы. Данных за местный рецидив опухоли и метастазы не получено.
С 27 декабря 2022 г. по 14 марта 2023 г. девочке было проведено 4 курса ПХТ препаратами винкристин и дактиномицин на фоне необходимой сопроводительной терапии. Лечение перенесла удовлетворительно, без осложнений. Одновременно проводился динамический контроль за состоянием органов и систем организма ребенка. В марте 2023 г. специальное лечение было завершено. В дальнейшем планируется проведение динамического наблюдения педиатра и детского хирурга по месту жительства, а также детского онколога. К моменту написания данной статьи признаков рецидива болезни у ребенка нет.
С первых дней после операции ребенку проводились реабилитационные мероприятия, направленные на восстановление функции оперированной кисти. На рисунке 7 представлен вид кисти через 6 мес и 1,5 года после операции. Следует отметить полное восстановление функции кисти.
Рисунок 7
Вид кисти пациентки: А – через 1 мес и Б – спустя 1,5 года после удаления опухоли
Figure 7
The appearance of the patient’s hand: А – 1 month after tumor removal and Б – 1.5 years after tumor removal
ОБСУЖДЕНИЕ РЕЗУЛЬТАТОВ ИССЛЕДОВАНИЯ
ИФ – редкая опухоль, встречающаяся главным образом у детей раннего возраста. Более чем в 75% случаев новообразование наблюдается на первом, а в 15% – на втором году жизни. И только в 10% случаев ИФ возникает у детей старшего возраста [13].
ИФ чаще регистрируется у мальчиков. Для опухоли свойственны местно-инвазивный рост и низкая частота отдаленного метастазирования (1–13%). Следует отметить, что ИФ характеризует агрессивный местно-инвазивный рост опухоли. Клинические проявления зависят от размеров, локализации и распространенности новообразования [14, 15].
Пожалуй, главными вопросами, возникающими перед детскими онкологами при обсуждении плана лечения ИФ кисти, являются сроки и объемы хирургического вмешательства. Ввиду большой редкости у детей ИФ вообще и ИФ кисти в частности в литературе чаще встречаются единичные случаи из практики.
Безусловный интерес представляет сообщение D. Orbach и соавт. (2016), в котором приведен ретроспективный анализ клинических особенностей и результатов лечения 56 детей в возрасте до 2 лет с фибросаркомой, участвовавших в совместных европейских протоколах в период с 1979 по 2005 г. и проходивших комбинированное лечение с применением хирургического вмешательства и химиотерапии в 6 европейских клиниках. Локализация ИФ в области конечностей была зарегистрирована у 66% пациентов. Детям проводилось хирургическое и комбинированное лечение с удовлетворительными лечебными результатами, и только 3 пациентам были выполнены калечащие операции. Показатели 5-летней общей выживаемости составили 89% [14].
Следует подчеркнуть, что, по данным мировой литературы, показатели общей выживаемости у детей с ИФ в случаях адекватно выбранной стратегии лечения составляют не менее 70–80%.
ЗАКЛЮЧЕНИЕ
Таким образом, ИФ представляет собой редкое заболевание, регистрирующееся преимущественно у детей первого года жизни. Чаще заболевание скрывается за масками воспалительных процессов и доброкачественных опухолей мягких тканей. Ведущим методом лечения ИФ является органосохраняющее радикальное хирургическое вмешательство (резекция R0). При невозможности выполнения радикальной операции рекомендуется проведение неоадъювантной химиотерапии с последующей органосохраняющей операцией. В случаях, когда после операции регистрируются положительные края резекции, обсуждаются вопросы проведения адъювантной химиотерапии.
Результаты лечения ИФ зависят от времени установления диагноза, распространенности опухолевого процесса и правильно выбранной стратегии лечения, важнейшим компонентом которой является радикальность выполненной операции.
СОГЛАСИЕ НА ПУБЛИКАЦИЮ
Авторы получили письменное информированное добровольное согласие законных представителей пациента на публикацию персональных данных, в том числе фотографий (с закрытием лица), в научном журнале, включая его электронную версию. Объем публикуемых данных с законным представителем пациента согласован.
CONSENT FOR PUBLICATION
The authors obtained written informed consent from the patient’s legal representatives to publish personal data including photographs (with face covered) in the scientific journal, both in the printed and digital versions. The amount of published data was agreed upon with the patient’s legal representatives.
ИСТОЧНИК ФИНАНСИРОВАНИЯ
Данное исследование не имело финансовой поддержки от сторонних организаций.
FUNDING
No funding was received for this study.
КОНФЛИКТ ИНТЕРЕСОВ
Авторы заявляют об отсутствии конфликта интересов.
CONFLICT OF INTEREST
The authors declare no conflict of interest.
ВКЛАД АВТОРОВ
Все авторы внесли существенный непосредственный и интеллектуальный вклад в работу и одобрили ее к публикации.
AUTHORS CONTRIBUTION
All the authors have made a substantial direct and intellectual contribution to the work and approved it for publication.
About the authors
Timur A. Sharoev
The Dmitry Rogachev National Medical Research Center of Pediatric Hematology, Oncology and Immunology of Ministry of Healthcare of the Russian Federation; Research Clinical Institute of Childhood of the Ministry of Healthcare of the Moscow Region; The Russian Medical Academy of Continuous Professional Education of Ministry of Healthcare of the Russian Federation; The M.F. Vladimirsky Moscow Regional Research and Clinical Institute
Author for correspondence.
Email: timuronco@mail.ru
ORCID iD: 0000-0002-5505-3068
Dr. Med. Sci., Professor, a chief researcher at the Department of Thoracoabdominal Surgery of the Institute of Pediatric Surgery and Oncology of the Dmitry Rogachev National Medical Research Center of Pediatric Hematology, Oncology and Immunology of the Ministry of Healthcare of the Russian Federation; Head of the Department of Pediatric Oncology at the Research Clinical Institute of Childhood of the Ministry of Healthcare of the Moscow Region; Professor at the L.A. Durnov Department of Pediatric Oncology of the Russian Medical Academy of Continuous Professional Education of Ministry of Healthcare of the Russian Federation; Professor at the Department of Pediatrics of the Postgraduate Training Faculty of the M.F. Vladimirsky Moscow Regional Research and Clinical Institute (MONIKI)
Russian Federation, Moscow; the Moscow Region, Mytishchi; Moscow; MoscowU. G. Adueva
The V.F. Voyno-Yasenetsky Scientific and Practical Center of Specialized Healthcare for children of the Department of Health of Moscow
Email: timuronco@mail.ru
ORCID iD: 0000-0001-8253-0563
Russian Federation, Moscow
N. M. Ivanova
Research Clinical Institute of Childhood of the Ministry of Healthcare of the Moscow Region; The Russian Medical Academy of Continuous Professional Education of Ministry of Healthcare of the Russian Federation; The V.F. Voyno-Yasenetsky Scientific and Practical Center of Specialized Healthcare for children of the Department of Health of Moscow
Email: timuronco@mail.ru
ORCID iD: 0000-0001-5282-0471
Russian Federation, the Moscow Region, Mytishchi; Moscow; Moscow
M. A. Rokhoev
The V.F. Voyno-Yasenetsky Scientific and Practical Center of Specialized Healthcare for children of the Department of Health of Moscow; The N.F. Filatov Children's City Clinical Hospital of the Department of Health of Moscow
Email: timuronco@mail.ru
ORCID iD: 0000-0001-8330-8649
Russian Federation, Moscow; Moscow
D. А. Skоbееv
The Morozov Children's City Clinical Hospital of the Department of Health of Moscow
Email: timuronco@mail.ru
ORCID iD: 0000-0001-6446-9201
Russian Federation, Moscow
N. I. Kislova
The V.F. Voyno-Yasenetsky Scientific and Practical Center of Specialized Healthcare for children of the Department of Health of Moscow; The I.M. Sechenov First Moscow State Medical University of the Ministry of Healthcare of the Russian Federation (the Sechenov University)
Email: timuronco@mail.ru
ORCID iD: 0009-0005-5229-1131
Russian Federation, Moscow; Moscow
A. R. Pogosova
The N.I. Pirogov Russian National Research Medical University of Ministry of Healthcare of the Russian Federation
Email: timuronco@mail.ru
ORCID iD: 0000-0003-3681-8237
Russian Federation, Moscow
References
- Злокачественные новообразования в России в 2023 году (заболеваемость и смертность). Под ред. А.Д. Каприна, В.В. Старинского, А.О. Шахзадовой. М.: МНИОИ им. П.А. Герцена − филиал ФГБУ «НМИЦ радиологии» Минздрава России, 2024. 276 с. [Malignant neoplasms in Russia in 2023 (morbidity and mortality). Edited by A.D. Karpin, V.V. Starinsky, A.O. Shakhzadova. M.: The Hertsen Moscow Oncology Research Institute – branch of the National Medical Research Center of Radiology of Ministry of Healthcare of the Russian Federation, 2024. 276 p. (In Russ.)].
- Ward E., Desantis C., Robbins A., Kohler B., Jemal A. Childhood and adolescent cancer statistics. Ca Cancer J Clin 2014; 64 (2): 83–103. doi: 10.3322/caac.21219
- Ferguson W.S. Advances in the adjuvant treatment of infantile fibrosarcoma. Expert Rev Anticancer Ther 2003; 3 (2): 185–91. doi: 10.1586/14737140.3.2.185
- Nicholas R.G., Brennan T.E. Congenital infantile fibrosarcoma of the glabella: nuances of achieving surgical cure without cosmetic or functional deformity. Int J Pediatric Otorhinolaryngol 2019; 117: 110–4.
- Chung E.B., Enzinger F.M. Infantile fibrosarcoma. Cancer 1976; 38 (2): 729–39. doi: 10.1002/1097-0142(197608)38:2<729::AID-CNCR2820380216>3.0.CO;2-Z
- Knezevich S.R., McFadden D.E., Tao W., Lim J.F., Sorensen P.H. A novel ETV6–NTRK3 gene fusion in congenital fibrosarcoma. Nat Genet 1998; 18 (2): 184–7. doi: 10.1038/ng0298-184
- Sulkowski J.P., Raval M.V., Browne M. Margin status and multimodal therapy in infan-tile fibrosarcoma, Pediatr Surg Int 2013; 29 (8): 771–6. doi: 10.1007/s00383013-3318-4
- Din N.U., Minhas K., Shamim M.S., Mushtaq N., Fadoo Z. Congenital (infantile) fibro-sarcoma of the scalp: a case series and review of literature, Child’s Nerv Syst 2015; 31 (11): 2145–9. doi: 10.1007/s00381-015-2824-1
- Dumont C., Monforte M., Flandrin A., Couture A., Tichit R., Boulot P. Prenatal management of congenital infantile fibrosarcoma: unexpected outcome. Ultrasound Obstet Gynecol 2011; 37 (6): 733–5. doi: 10.1002/uog.8878
- Coffin C.M., Jaszcz W., O'Shea P.A., Dehner L.P. So-called congenital-infantile fibrosarcoma: does it exist and what is it? Pediatr Pathol 1994; 14: 133–50.
- Orbach D., Rey A., Cecchetto G., Oberlin O., Casanova M., Thebaud E. et al. Infantile fibrosarcoma: management based on the european experience. J Clin Oncol 2010; 28 (2): 318–23. doi: 10.1200/JCO.2009.21.9972
- Иванов Н.С., Панферова А.В., Коновалов Д.М., Телешова М.В., Большаков Н.А., Шаманская Т.В. и др. Врожденная инфантильная фибросаркома с неканоническим химерным транскриптом TPM3– NTRK1: описание клинического случая и обзор литературы. Вопросы гематологии/онкологии и иммунопатологии в педиатрии 2022; 21 (1): 110–20. doi: 10.24287/1726-1708-2022-21-1-110-120 [Ivanov N.S., Panfyorova A.V., Konovalov D.M., Teleshova M.V., Bolshakov N.A., Shamanskaya T.V. et al. Сongenital infantile fibrosarcoma with a non-canonical TPM3–NTRK1 fusion transcript: a case report and a literature review. Pediatric Hematology/Oncology and Immunopathology 2022; 21 (1): 110–120. (In Russ.)].
- Davis J.A., Antonescu C.R., Bahrami A. Infantile fibrosarcoma. In: WHO Classification of Tumours of Soft Tissue and Bone, 5th ed. Lyon, France: IARC Press; 2020. Рр. 119–21.
- Orbach D., Brennan B., De Paoli A., Gallego S., Mudry P., Francotte N. еt al. Conservative strategy in infantile fibrosarcoma is possible: The European paediatric Soft tissue sarcoma Study Group experience. Eur J Can 2016; 57: 1–9. doi: 10.1016/j.ejca.2015.12.028
- Orbach D., Rey A., Cecchetto G., Oberlin O., Casanova M., Thebaud E. еt al. Infantile fibrosar-coma: management based on the European experience. J Clin Oncol 2010; 28 (2): 318–23. doi: 10.1200/JCO.2009.21.9972
Supplementary files









